醜小鴨的困惑
兒童牙科專科醫師 李國慶
乳牙掉落,恆牙替代,是兒童生長發育的結果,表示孩子一天天大了,原本值得喜悅,但有些「看似異常」的情況,卻常使關心孩子的父母焦慮不已,而事實上這些狀況大部份只是「暫時異常」,僅需定期追綜檢杳,假以時日,通常會自然地「回歸正常」。這些「暫時異常」是發生於兒童換牙的”醜小鴨時期”!
〈 何謂醜小鴨時期?>
一般而言,孩子到了六足歲,下顎正中恆門牙就要萌出取代乳門牙,由乳齒列期進入混合齒列期(即齒列中有乳牙也有恆牙)。在混合齒列期,由於恆牙的萌發及發育皆未臻成熟;再加上乳牙與恆牙本質上的差異,使得這個階段兒童的上顎門牙區,大都擁有一口「牙縫大、又歪又斜的黃板牙」視覺上不若乳齒列那般賞心悅目,因此常令家長擔心是不是一輩子都這樣子啊!就因為美觀上的改變,牙醫學上就戲稱該階段為”醜小鴨時期”。通常要等到上顎恆犬齒萌出(約12 足歲),進入恆齒列期後,醜小鴨時期即告結束,也意味著齒列的”假性異常”因成長發育而恢復正常,外貌也就令人順眼了!
〈 醜小鴨時期常見的假性異常〉
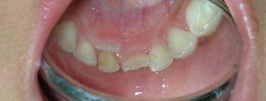
一、恆牙已萌出,乳牙仍未掉落-------六足歲當下顎正中恆門牙萌發時,它經常是位於乳牙的舌側(?側), ,有的時候更是乳牙未掉,恆牙已萌出,形成「兩排牙齒」的「奇景」<圖1>,因此父母常會擔心因此導致齒列不正,而要求矯正。事實上,下顎恆門牙正常的萌發路徑就是在乳門牙的舌側,但並不表示它將永遠在該位置靜止不動,反而會因不斷地受到舌頭前推的力量而往唇側(前方)移動,如果前方沒有任何牙齒阻擋,它就會一直向唇側移動直到嘴唇阻擋的力量與舌頭推擠的力量達成「動態平衡」而使該恆牙得以維持不動。基於這項事實,當下顎恆門牙萌發於乳牙的舌側(內側)時,只要前面沒有阻擋,大可放心;萬一恆牙已萌出而乳牙仍未掉落,是否需要拔除該乳牙呢? 一般而言,只要該乳牙搖晃得厲害(表示牙根已吸收得差不多了),而且並未造成孩子進食的困惱 (因為乳牙晃動會引起些許疼痛,有些孩子因而拒絕進食) 則可以讓其自然脫落,因為這種牙齒無怯阻擋恆牙的前移(唇側移動)。反之,若該乳牙屹立不搖(表示牙根未吸收)或只有些許晃動(牙根吸收不完全), 則最好讓牙醫師將之拔除,以利繼生恆牙之唇側移動。

圖1乳門牙未掉,恆門牙已萌出
二、新長出牙齒的切端常有「缺損」?---------新萌出的門牙,切緣都會呈鋸齒狀<圖2>,這是正常的現象而非牙齒缺損,因為門牙在發育時是由多個發育葉相互融合而成,故在切緣會呈現三個突起的咬頭,看起好像缺損般;然而隨著牙齒的磨耗,它們很快就會消失而使門牙切緣如同成人的門牙般呈一直線。
圖2新萌出的門牙,切緣都會呈鋸齒狀
三、上顎恆門牙不但牙齒好大,牙縫也大,又歪又斜,顏色又黃,怎麼刷都刷不白------七足歲時上顎正中門牙開始萌發,由於它通常的萌發路徑是呈向外展開的方式(即八字型)所以萌發後牙齒各自向左向右傾斜,因而造成牙縫過大<圖3>,難看,根據民間說法,這是漏財縫啊!這還得了!不知急壞了多少父母;其實沒那麼嚴重啦,多數兒童會因上顎側門牙萌發時推擠正中門牙而使牙縫及牙齒的歪斜舒緩些,到了上顎恆犬齒萌發時又會對門牙群產生推擠,因而使前述的異常自然地回歸正常。但是如果上顎正中門牙之間發生狀況------如贅生牙(多長出來的牙齒<圖4>)、牙瘤或囊腫等------則側門牙及犬齒萌發所產生的推擠恐怕仍「力有未殆」,以致美觀上難看依舊,因此,當家長們焦急地帶著七、八歲的孩子來「矯正」時,醫師通常會先照攝X 光片,確定正中門牙附近區域有無狀況,若有;則需先行除去(通常以手術方式),若無,則繼續觀察等待「自然的矯正」當然也有少數的病例在恆犬齒萌發完全後牙縫過大仍未見改善,而需以齒列矯正來治療,但仍為時不晚。
至於新長出的門牙太大,則是由於牙齒與臉孔間此例不協調所致,一個發育完全的牙齒(牙齒萌出,大小就不再改變)與發育中的臉孔湊在一塊當然會「覺得」前者較大,所以這種狀況會隨著顏面發育而逐漸會解決。(當然,也可能真的是牙齒本身尺寸太大,日後可以藉著矯正來改善)
圖3上顎恆門牙不但牙齒好大,牙縫也大
圖4 左:X光片顯示在兩顆上顎正中恆門牙之間,有一顆多生牙。
右: 經手術拔出的多生牙


門牙顏色過黃也是由「比較」而來的「錯覺」,乳牙本質上就比恆牙要潔白,所以當兩者並存時,很自然地會認為恆牙太黃,甚至誤會孩子沒把牙刷乾淨(冤枉啊!)因此,一旦乳牙全部換成恆牙後,牙齒「好像」也就不那麼黃了。
醜小鴨時期對多數兒量而言是個必經的階段,其間多數狀況是假性異常,少數則為真性異常,為了孩子的健康,為了避免家長不必要的憂慮,定期地帶孩子作口腔檢查才是上策。
台北市名格兒童牙醫診所 院長 李國慶 醫師

