置頂精選
不需要牙齒,就可以放棄修復牙齒。
2025/02/08 09:55
瀏覽242
迴響0
推薦7
引用0

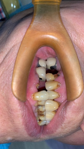
因距此位患者前一次修復牙齒已十幾年了,患者十幾年來放任牙齒不管,斷了就放著不理,或者拔牙後就不修復。
所以牙齒多處局部都受力過大,有斷裂風險。
如果患者決定不需要牙齒咀嚼食物,可以接受軟質、流質食物,真的只要照顧好傷口即可,不需要擬定治療計劃,因為有些患者因自身年齡和身體狀況考量,對自己沒信心,認為CP值過低,想流質飲食就可以,我們尊重患者的選擇,也是一個不錯的方法,只要保持口內衛生,將剩餘的牙齒照顧好即可。
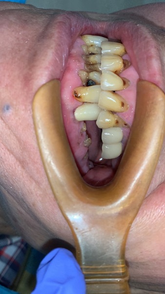
以下案例為與上面相同年齡,七十初頭歲。
前兩年患者認為自己身體狀況不好,決定牙齒只要壞了,就用活動假牙就可以,不想再花時間和金錢修復牙齒,太累太辛苦了。

奈何牙齒每況愈下,抽了神經後,陸續斷牙,直到累計滿5顆,真的無法再忍耐了。

於是回頭詢問醫師:有沒有什麼方法,可以讓自己可以咀嚼食物,連肉類都沒辦法吃了?

其實,以患者年齡來說,若能接受軟質、流質飲食,不修復或以活動假牙使用,也未嘗不可。
但患者嘗試過了,覺得活動假牙不好用、很麻煩,且能咀嚼食物有限,因此回頭想要知道有沒有更好的方法可以修復,但不要太長時間的方法。

所以我們常在患者約50-60歲時建議患者要好好考慮,重建牙齒的時機,以免七十歲以上面臨選擇時會左右兩難,畢竟牙齒要一直跟著我們使用到最後一刻,有沒有牙齒,真的差很多,不管是食物的攝取、發音、容貌、自信,所以聰明的患者,一定要提早規畫好自己的老年生活。
你可能會有興趣的文章:












