人工琺瑯質17
2011/09/27 16:22
瀏覽141
迴響0
推薦1
引用0
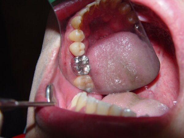
患者年約41,男性,牙齒咬破來就醫,經醫師檢查後發現此顆牙齒是抽過神經的,因此建議患者利用全瓷牙冠來修復,可以兼具美觀與耐用。
患者同意了,於是印模...
裝牙前先用水雷射處理牙齒表面,再利用特殊無毒性藥劑鑲嵌上去,既美觀又耐用。
裝牙後患者非常滿意。
你可能會有興趣的文章:
患者年約41,男性,牙齒咬破來就醫,經醫師檢查後發現此顆牙齒是抽過神經的,因此建議患者利用全瓷牙冠來修復,可以兼具美觀與耐用。
患者同意了,於是印模...
裝牙前先用水雷射處理牙齒表面,再利用特殊無毒性藥劑鑲嵌上去,既美觀又耐用。
裝牙後患者非常滿意。