置頂精選
牙齒矯正30(症狀-擁擠)
2012/07/20 15:58
瀏覽169
迴響0
推薦1
引用0

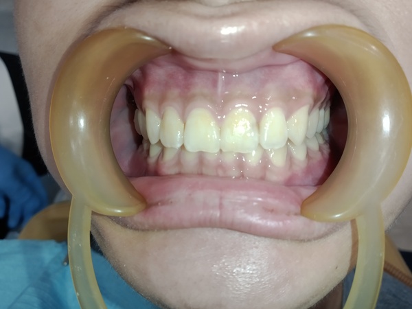
患者為男性,年約20歲,於門診時表示要檢牙齒,看不到自已的下排下,且下排有幾顆很擠。想要改善,經醫師評估後:建議患者將智齒分次拔除外,並建議以矯正治療將牙齒咬合做調整,並指出是因後牙牙齒較凹陷且前後牙高低落差較大,導致咬力分配不均,造成前牙嚴重磨耗,需同時做咬力分配來改善。
患者與家人商量後同意療程。

原始狀況 ....
下前牙變短且重疊,牙縫多處會塞。


下顎後牙往舌側傾斜。


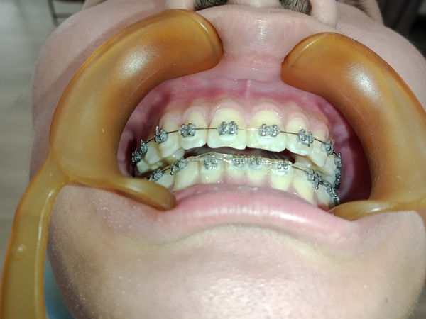
治療中....下排牙已露出許多。



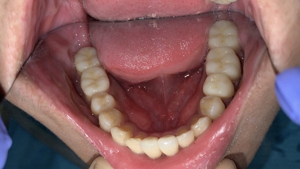
矯正器拆除了,患者十分滿意...
咬合、排列問題一併改善了,連外觀也變成優質小型男。


目前配戴維持器,定期回診檢查。
你可能會有興趣的文章:










