置頂精選
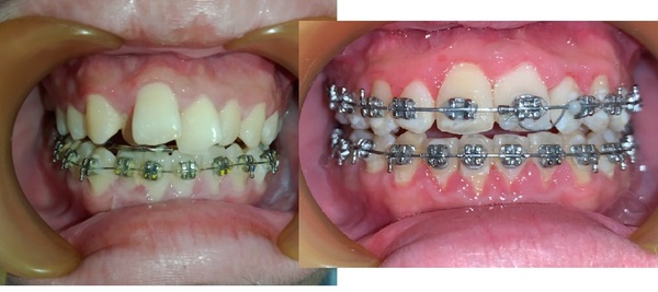
牙齒排列不好是一種疾病
2025/01/22 16:18
瀏覽231
迴響1
推薦7
引用0


排列不佳是口腔問題的根源,非常關鍵,很多民眾都沒有維護牙齒健康終老的觀念,保持牙齒健康到老,是大多數民眾想都不會去想的。
一般民眾認為,我雖然缺了一些牙齒,但還可以咬,無所謂,不打緊,能吃就好,也不去想牙齒為什麼會壞掉?當然就更不會想怎能不壞掉?
門診中我們經常跟患者說的,如果您可以接受流質飲食不咀嚼,那真的可以不用修牙齒。
但是如果您要有好用健康的牙齒,那您要及早規劃,不能等到70歲了再來問醫師,牙齒痛,要怎麼辦??不要植牙可以嗎?牙齒不拔有辦法嗎??

咬合和排列問題早期治療可以解決掉後面衍生的問題,如:牙齒不正常的撞擊,造成局部缺損、減少牙齦萎縮和骨頭萎縮,平衡咬力分配減少牙周病掉牙問題產生。
所以投資青少年矯正治療是最高報酬的獲利唷!
你可能會有興趣的文章:















