標靶巧治鼻咽癌
2010/06/19 16:00
瀏覽1,788
迴響1
推薦21
引用0

圖1::張文龍醫生(右)利用標靶藥配合化療,
治療鼻咽癌,陳女士(左)是首名病人。
標靶巧治鼻咽癌
鼻咽癌是本港常見的癌症,過往一直以化療和電療為主要的治療方法,但部分年紀較大或身體較弱的患者,未能承受電療的副作用,現時可用化療配合標靶藥物,減低對患者的影響。
臨牀腫瘤科專科醫生張文龍表示,鼻咽癌患者在初期可能沒有病徵,逾七成人在確診時已屬晚期。
患者持續頭痛頸有核
最明顯的病徵是患者出現無痛頸核,以及持續性的頭痛,服藥亦未能止痛。要治療中、後期的鼻咽癌,應以電療配合化療,但多次的化療療程會增加電療的副作用,而大範圍的電療亦可能破壞鼻咽附近的神經線及其他正常組織。
事實上,副作用較少的標靶藥已廣泛應用於大腸癌、乳癌等,但仍未有一級的醫學證據,將標靶藥用於中、晚期的鼻咽癌。但去年在西班牙和今年一月於美國發表的臨牀試驗指出,使用標靶藥配合化療藥物,能明顯改善晚期頭頸癌病人的整體存活率及無惡化存活期。
張文龍醫生參考有關資料後,利用標靶藥物配合化療治療晚期的鼻咽癌患者。70歲陳女士,在去年4月突然感到頭痛,睡覺時的情況更為嚴重,而且服止痛藥亦未能止痛,檢查後發現在其左鼻咽處有一顆5厘米大的腫瘤,證實為第4期的鼻咽癌,而該腫瘤逼近視覺神經及腦部,亦已引致左眼下裂,陳女士本身右眼早已失明。
張醫生原本利用誘導性化療,先把腫瘤縮細,但考慮到陳女士的情況,若用電療,其左眼視力定會喪失,故決定嘗試使用標靶藥配合化療。現時陳女士已達至無瘤腫狀態,亦可保存左眼的視力。
都市日報 2010年06月17日
.
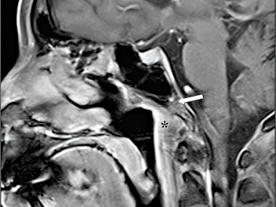
圖2:陳女士治療前的檢查圖片,發現
在左鼻咽處有5厘米大的腫瘤
圖3:陳女士治療後的檢查圖片,腫瘤
明顯縮細。


你可能會有興趣的文章:
迴響(1) :
1樓. 勇倉2012/10/27 01:01re 標靶巧治鼻咽癌
您好:
因家父也是得了晚期的鼻咽癌,目前在長庚做了第一次(5天)的化療,期間也了解了以後所要面對接腫而來的長期治療!深怕父親因年長(72)而無法受這樣治療下所帶來的副作用。
看了您的文章想請教您的是此標靶巧治鼻咽癌的方式是各大院都可有做的療程嗎?高雄長庚是否也有此法?還有用此方法就可不用做放射線治療了嗎?
以上懇請告知 謝謝










