頭痛
2009/12/25 02:06
瀏覽1,291
迴響1
推薦9
引用0

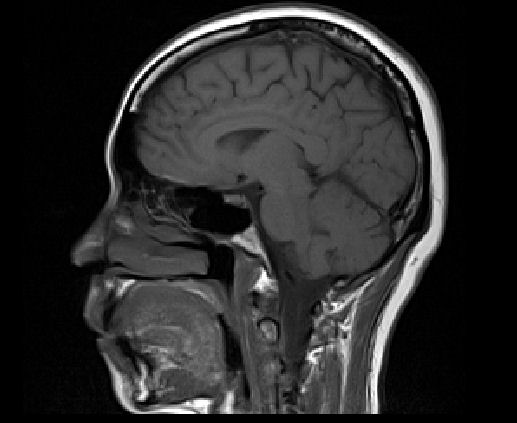
劇烈的頭痛八、九天了,不管吃任何一種止痛藥都只能暫時舒緩症狀,無法根除。白天痛,晚上也痛,尤其是右耳後方的後腦門,隨著脈搏的跳動,每天凌晨三點砰砰砰地將我痛醒。實在受不了去看醫生,他除了開處方用更強的止痛藥給我外,也讓我去做腦部磁振造影檢查 (MRI/MRA)。
做磁振造影比做電腦斷層掃描 (CT Scan) 容易多了。記得上次做電腦斷層掃描,不但要禁食,還要喝造影劑,過程中要配合技師做吸氣吐氣,也許還加上靜派注射。此次做磁振造影只是躺在那裡,頭部固定,耳中雖然有耳塞,但機器運轉的轟隆轟隆聲還是聽得到,整個過程大約三十分鐘,因為不能動,我還小睡了一下呢。
技術人員說檢查結果會直接寄給醫生,但是她可以先給我影像的 CD 。一共照了兩百多張片子,回家馬上開電腦欣賞一番,我不是醫生,當然看不出個所以然,但觀看自己腦袋內部的影像倒是蠻有趣地。現在只能靜候結果,希望一切平安無事。
延伸閱讀:CT Scan 電腦斷層掃描

你可能會有興趣的文章:








