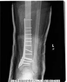
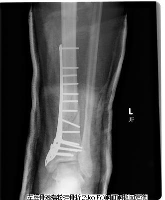
骨折開刀,用來固定的鋼釘、鋼板【(泛稱);目前用的都是合金材質】,在骨折癒合後,要不要拿掉?
早期骨科教科書或老師都說:骨折在癒合後,這些內固定金屬都應該要拿掉(取出)。要拿掉,最大的理由是:這些金屬對身體言 是不能吸收的「異物」,異物的存在,在身體免疫力變差時,有潛在會變成感染病灶的可能;另者,鋼釘、鋼板有的在骨折癒合後,會形成局部組織空間的擠壓或造成刺激,甚至使表皮、軟組織潰瘍;另外,有些情況,像鋼釘穿入關節腔,會妨礙關節活動、造成軟骨磨損,導致骨關節炎;而金屬也在作核磁共振或電腦斷層檢查時,會造成影像的干擾…..;這些,都是存留鋼釘鋼板可能有的不良後果,因此把鋼釘鋼板拿掉,邏輯上,好像是房子蓋好就把膺架拆除一樣,看似很自然的事。但”拿掉”也意味著還要再開一次刀,對病人言是要再面對一次麻醉與手術的風險,也須再付出醫療成本。 那麼,鋼釘鋼板是不是一定要拿呢?
2008年瑞士Swiss AO Foundation (國際內固定研究學會)一項對65個國家、1199骨科醫師的大規模調查報告( BMC Musculoskeletal Disorders.@2008 Hanson et al.) 指出:有60%受訪的骨科醫師不認為存留的鋼釘鋼板會有不良副作用,不認為需要拿。
會拿,除了上述適應症之外,多半是應病人的要求。通常要拿鋼釘鋼板是比要把它們釘上去容易;但你用甚麼工具釘上去,你就要用甚麼工具才拿得下來!共通相容的工具畢竟有限,往往就是少一隻合齒的螺絲起子,就會讓醫師功敗垂成。而台灣各家醫院用的內固定骨材甚麼廠牌都有,跨院病人,醫師沒有弄清楚就貿然開刀,後果很可能就是下不了(手術)台、狼狽不堪。有些困難位置的鋼釘鋼板要拿還要好好評估可能的風險或併發症,最糟糕的例子就像是為了拿肱骨鋼板而傷了橈骨神經,造成永久性的垂腕,就太得不償失了!調查報告也指出,拿鋼釘鋼板整體言有12 ~ 40%的併發症,其中以神經損傷居多,恢復困難。鋼釘鋼板要拿,豈能不謹慎小心?
對民眾來說,除了有明確須拿掉的適應症之外,要不要拿,還是多聽聽不同醫師的意見(Get second opinion)再作決定,這才是明智的作法。





