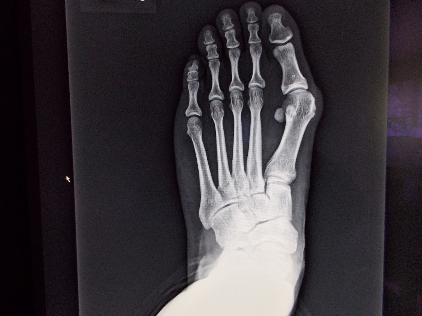
拇趾外翻是腳的一種先天變形。這種腳 大拇趾向鄰趾(第2趾)傾斜、拇趾 趾蹠關節像是轉個彎,使前腳呈三角形。拇趾外翻與遺傳有關,估計在30~50歲的一般人口中,約10% 的人如此,女性好發,比男性多4倍。傾斜的拇趾 會一天天越斜越厲害,壓迫、甚至頂起第2趾,造成關節變形,使腳不耐久站、走路;穿鞋(尤其是穿高根鞋) 困擾、疼痛,造成生活不便。(見圖1)
穿鞋、站、走、跑、跳是腳的「天職」。文明社會裡,仕女在正式場合穿著高根鞋是一種禮儀;甚至在女性職場,還有:「妳穿高根鞋的能耐有多高,妳的成就就有多高!」的說法!而時尚的審美觀裡,一雙潤圓勻緻的腳,配上美美的高根鞋,被視為是女性美的另一個焦點;使得眾多女人對高根鞋又愛又恨,而若偏偏拇趾外翻,對愛美的人來說,不啻是揮之不去的夢饜;因之,美足手術,尤其是拇趾外翻矯正,成了這幾年的新寵,也意外的在歐美使許多足科 (骨科) 醫師翻紅。
拇趾外翻統計上68 % 都有家族性。穿高跟鞋 會助長拇趾外翻,是外加因素;而原即扁平足者 也會使外翻加速。病理上,拇趾會外翻,是因為腳背、腳底 (即蹠底) 各自的伸趾肌腱及縮趾肌腱,以及 拇趾內收肌 的拉力 失去平衡所致(圖2.);

太緊的內收肌 肌腱,把大拇趾慢慢的向外拉,趾蹠關節也被拉成脫臼,產生關節滑液囊腫(即常稱的Bunion);或頂起鄰(第2)趾、或造成足底胼胝(雞眼),讓腳久站、走路、穿鞋疼痛。診斷上,除了看外觀外,還須照X-光,仔細評量趾-蹠交角、蹠-蹠交角的度數;趾-蹠關節 對位情形,及蹠底芝麻骨 (有2個) 脫位的程度……等,作為是否須手術治療的憑估。雖然,坊間有各式各樣的護具、矽膠墊、…..宣稱可復健矯正,但實際上沒有真正的效果,矯正還是要靠手術。
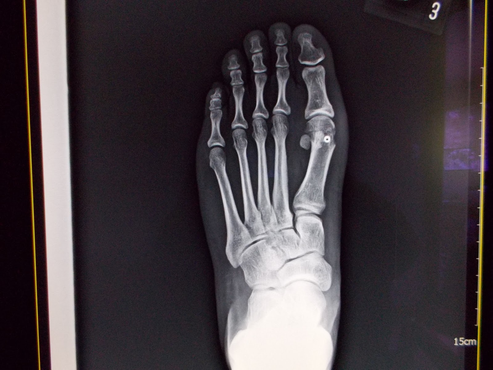
手術主要是作蹠底內收蹠肌 肌腱的鬆筋術,以消除肌腱的不當拉(張)力;在大部份年青小姐、早期外翻 (趾蹠骨交角)不厲害,鬆筋手術即有很好效果(圖3.)。

但設若外翻變形厲害,趾蹠關節也退化變形,則還須加上切骨矯正術(如圖4-5-6),術後 頭2週用拐杖助行,
第3週穿中高底鞋行走,
第6週即回復正常走路上下班。
雖說拇趾外翻是先天遺傳的腳變形、加上時間的因素;但
無可諱言,穿高根鞋 (鞋根高過1英吋以上) 絕對是它的幫凶。少穿高根鞋、穿平底、鞋頭空間寬的鞋,都有助於 降低與延遲 拇趾外翻 的形成。
但假如你的職位與工作 必須要穿高根鞋,那麼建議你,晚開刀不如早開刀,不要拖到外翻厲害、關節變形才求醫,那就比較費事了。








