Contents ...
udn網路城邦
我讀我思我寫
(
到舊版
)
文章
相簿
訪客簿
錯誤的刷牙方式
2006
/
08
/
02
13
:
24
瀏覽
270
迴響
0
推薦
1
引用
0
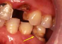
一般人最常用的刷牙方式即在光滑表面區不斷來回做大範圍長距離刷洗
此種刷牙方式往往漏掉預防牙周病最重要的齒頸牙肉區
使牙菌斑繼續殘留而持續破壞牙周組織
另外有些人曾聽過牙醫師說要刷牙肉旁邊的齒頸牙肉區
可是卻仍然做長距離快速且用力的刷洗
如此容易造成牙肉萎縮或齒頸部磨耗而在牙根表面留下刻痕
這也是不對的
回覆
推薦
引用
有誰引用
我要引用
引用網址
列印
有誰推薦
more
全站分類:
知識學習
|
科學百科
自訂分類:
科學新知
上一則:
正確的刷牙方式
下一則:
Google 搜尋大神的應用魅力
你可能會有興趣的文章:
爛人滾出去死吧!
彭蒙惠英語雜誌的唸法(請各位提供意見)
家事小百科(陸續增加中)
2006年3月20日心情記事
2005年5月2日advanced studio classroom note
Swimming Against the Tide Sri Lankan Struggles to Save Endangered Turtles(1)
限會員,要發表迴響,請先登入
作家
加入好友
推薦部落格
訂閱關注
留言給他
愛因斯坦
個人小檔案
部落格推薦
:
0
等級
:
5
點閱人氣
:
237,879
本日人氣
:
21
文章創作
:
158
相簿數
:
1
搜尋
輸入關鍵字:
搜尋
文章分類
prev
月曆
0月 (1)
文章排行榜
最新發表
最新回應
最新推薦
熱門瀏覽
熱門回應
熱門推薦
Why we should eat bananas ?
我要減肥了
Introduce to Benjamin Franklin
論幽默感
How To Study Studio Classroom
爛人滾出去死吧!
精選文章
Google 搜尋大神的應用魅力
如何從網路搜尋經典名句?(轉載文章)
我推薦的文章
金珠日記 94.4.9 (六)
【英國】世界「第一書鎮」海伊鎮
>
部落格推薦人
more
標籤
RSS
RSS
部落格聯播