剛開始學習NLP的眼睛解讀線索時,很好奇聽覺建構(Ac)與內部對話(Ad),是否會因為兩者都屬於聲音的創造,而有相同之處? 結果發現內部對話不但屬於有意識的自己,也是工作記憶的一部分。更是人類幼兒時期,認知學習的啟蒙工具。在認知神經科學的期刊裡,也是經常被探討的主題之一,所以特別開闢此一章節來做紀錄。

Internal Dialogue, Inner Speech或Auditory Digital(內部對話)都代表內在自言自語的狀態,是我們平常每天或多或少都會經歷的一種心理現象。 有時候是一個人的獨白(the monologue), 像是述說自己的立場,自我支持、激勵與改善...等等; 有時候是多個角色說話或彼此對談(the dialogue), 像是透過不同觀點間的對話以引導到最合適的決定, 或是預先在心裡預演未知的情境...等等。
這些內部對話的角色有時是說話者,有時是聆聽者。角色的不同代表著不斷改變的想法與觀點,也代表著不同的信念與價值。角色持續變換的過程,可依照不同的狀態、環境與需要應運而生。對話的內涵涉及一系列認知的發展過程(cognitive development),有時只是一種想法、觀點與立場(thought and perspective),有時是核對自己說話的內容(speech monitoring),又有時觸及大腦額葉的執行功能(executive functions of frontal lobe包含規劃、決策、自我控制與自我檢視...等等)。很有趣的是,不管角色如何的變化,那個內在發出來的聲音,一定是自己的聲音。
角色可以在不同的時間架構裡出現,可以是過去已知的某一時刻,也可以是未來想像中的某一個時間點。角色的身份是多重的,可以是乖乖牌也可以是麻煩製造者。角色在心裡互相對談, 好像是彼此的意見與經驗的交流。我們每天都生活在各種角色的轉換裡面,也隨時在不同角色的相互交織中,而且不同的角色隨時在不同的觀點中游移, 偶而也會在角色與對話的變換過程中發現衝突與矛盾之點,因此整個過程也會引發一些爭執、協調與妥協。這樣的內心調整過程,導致個人的生活經驗不得不做重新的詮釋,一些嶄新的系統於是跟著誕生(譬如可能有新的主角出現,吟唱著新的曲目或者原先在台下的聽眾跳到台前當起了主角,也可能是主角被邊緣化而黯然下台...等等各種不同的狀況)。當所有的聲音達成一致時, 一個全新的思想聯盟興起,取代了原先懷抱老舊信念的自己。
有很多助人的技巧就是利用我們內部對話的自然現象,達到有效的改變我們的行為與情緒。例如換框法或稱重新架構(reframe/reappraisal ),就是在上述衝突矛盾發生的時候,改變其觀點(對某一情境的看法)或舞台(找到一個合適的情境),加速讓所有的聲音達成一致。還有Meichenbaum的認知行為矯正法,也是運用內部對話來修正自己的行為。
根據心理學家維高斯基(Vygotsky)的認知發展論,人類內部對話的能力,最早始於3歲牙牙學語的幼兒時期。此時的幼兒開始學習整合分屬不同系統的思想與語言, 當進行一項困難的認知行為時,幼兒通常會對著自己喃喃自語並記下該語句所代表的現象與意涵。當年紀更大時, 喃喃自語的行為因內化(internalize)而不再說出聲音來,在心裡喃喃自語的現象便慢慢發展成內部對話。底下圖1有7組橘子,每一組橘子的個數代表一個數字,就是一組7位數的密碼。請利用20秒鐘的時間,默默的記下這個密碼,然後閉上眼睛大約10秒鐘後,再大聲地唸出密碼來。

圖1
如果能在時間內正確唸出這7位數字密碼,一定是先將圖形轉譯成數字,然後在心裡記住這7位數字。如果回想如何記住密碼的過程,大部分的人會先在心裡默唸這些數字,心裡面聽到是自己的聲音,當眼睛閉上時,為了記住這些數字更久一點,我們會在心裡默默的複誦聽到的聲音,直到唸出聲音來為止。這樣的一系列的動作,實際上已經運用到我們每天所使用的工作記憶(Working Memory)的一部分了。工作記憶屬於短暫的短期記憶(Short-term Memory),當我們在做心算、語言的理解和做一連串複雜且須按照順序的動作時都會用到它。它的特性不僅記憶的時間是短暫的,就連容量也是有限的。因此在做與其相關的思考和記憶的任務時,就會侷限於它有限的資源。工作記憶可同時間處理的事情也限制在某種程度裡,有些任務可以同時間一起運行,但是有些任務在同時運行的時候,會因為爭奪有限資源的特性,而造成互相影響彼此執行的效能。例如在閱讀一段文章時,假如旁邊也有人同時唸出多組完全不同的數字組合,並且要求你完整無誤的記住文章的內容與那些口述的數字組合時,其結果一定是非常的不理想,不是顧此失彼就是兩邊的內容都沒辦法記住。

圖2
因此心理學家Alan Baddeley就根據許多實驗的結果,提出了工作記憶不只僅有單一一個暫存空間的假設,他建立的這個工作記憶模型(Baddeley Working Memory Model)裡,就有一個執行部門與三個暫存的記憶空間(如圖2):
第一層是中央執行部門(Central Executive),專門負責掌控和分配所有工作記憶系統中注意力的運用。以注意力的集中、注意力的區隔和注意力的轉換...等方式,來管理並分配注意力給系統裡不同的暫存資源。
第二層有視覺空間素描板(Visuospatial Sketchpad)、情節暫存(Episodic Buffer)和聲韻迴路部門(Phonological Loop)。
第三層有解譯感覺、視覺與空間訊息的視覺語意(Visual Semantics),儲存視覺、聽覺與感覺等綜合訊息的情節長期記憶(Episodic Long Term Memory)和負責我們語言之聽、說、讀、寫能力的語言系統(Language)。
當我們看到非語言類的資訊時,都會暫時先存放在視覺空間素描板裡,裡面有感覺資訊(包含肌肉動作與操作程序...等等)、視覺資訊(包含物體的顏色、形狀、與長度...等等)和空間的資訊(包含方向、位置、距離與速度...等等)都分別在視覺語意系統裡,被辨識其意義與解讀其內涵, 並且在此處完成空間圖像與語言文字的轉譯。
情節暫存不僅是提供汲取長期記憶的通道,而且可以整合聲韻部門與視覺空間素描板的資訊,也就是我們所見與所聞的訊息,然後儲存於情節長期記憶裡。
聲韻迴路部門是一個暫存空間,專門存放聲音、音樂及口語...等訊息。其內還包含兩個子系統,聲韻存放(Phonological Store)此區域的功能僅作為聲音類資訊之暫時存放空間, 其特性是有容量的限制,而且會消失的非常快,大約1-2秒一閃即逝,因此常被形容為記憶的軌跡。另一個子系統是音節複誦機制(Articulatory Rehearsal Mechanism),其功用即在聲韻存放的聲音資訊即將消失前,再次默唸聲韻存放內的聲音資訊,用以保存其軌跡。假使想將聲音資訊保存久一點的話,就一直重複這個循環直到結束為止,所以這個重複背誦的過程就叫音節複誦。口語聲音的產生與辨認,都必須進入大腦的語言系統作資訊的存取,此部分與語言的經驗、語言的知識以及其認知功能有關。
剛剛那個橘子密碼還記得嗎? 如果忘了也很正常,說明工作記憶短暫的特性。之前為什麼會先將圖形轉譯成口語化的數字? 其原因也正是聲韻部門運作的特質: 能很快的馬上記住,會比以視覺空間素描板還快,但是忘記的速度也很快。如果字數過長或者是彼此發音類似也會影響記憶的速度,不信的話可以試試底下這行字串,相信一定比上面的橘子密碼還難記:
D B C T V P G K F Y L R Q
聲韻迴路部門大概會在大腦的哪一區呢? 根據一組fMRI大腦功能性顯影實驗顯示(如圖3),給受測者一個陌生的電話號碼讓他call,在受測者撥打電話號碼之前,必須記得這個電話號碼,結果大腦左半球的Broca區和Wernicke區顯得比大腦其他的地方還要忙。可見Broca區有一部分的功能就是音節複誦機制,因為此區是負責管理語言的產生,在此實驗中是負責默唸電話號碼。而Wernicke區有一部分的功能就是聲韻存放,此區是語言的理解中心,負責儲存及解釋所傳入的語言和文字的訊息,在此實驗中是負責暫存電話號碼。

圖3 圖片擷取自William H. Calvin and Derek Bickerton, Lingua ex Machina: Reconciling Darwin and Chomsky with the human brain, MIT Press, 2000
如果以上面那個背誦字串為例子,首先DBCTVPGKFYLRQ字串會由視網膜進入視覺皮質(Visual Cortex),然後再傳送字串訊息到Wernicke區。在此區分辨出是什麼字之後,再透過弓狀束(Arcuate Fasciculus)將這些分辨出來的字串資訊送到Broca區。Broca區就依照分辨出來的訊息,發出正確的聲音。然後聲音就在Broca區與Wernicke區之間,安靜的複誦並同時來回傳送,形成一個聲韻的迴路。直到必須說出此字串時,字串的資訊才會由Broca區傳送到發聲動作區(Vocalization Motor Area),再透過聲帶及嘴巴將字串正確的說出來。(如圖5)由於這個字串較長,而且當複誦的資訊傳送到聲韻放置的過程中,因為字句的聲音彼此相近,以致於字句的辨識受到干擾而影響背誦的速度。為了加速完成此任務,有人可能會採取分段複誦的方式,也有人可能會採取漸增式複誦的方法或者會用聲音語意關聯法來複誦,採用的方法可能因人而異,但是聲韻迴路所使用複誦的基本原則並沒有改變。

圖5 圖片取材自Dr.Eric Kandel A Dialogue Between Genes and Synapses的演講稿
無論是內部對話、想法或是思考,大多是以語言的形式,在內在呈現的。那麼生下來就聽障的人,是否有內部對話? 他們是如何思考的? 根據一些醫學的研究報告,天生聽障的人也有內部對話。他們的內部對話、想法或思考的方式,都是以沒有聲音的文字、圖形、唇語或手語的方式呈現。另外,罹患自閉症(ASD)的學齡兒童,則屬於較少使用內部對話的族群。有些自閉症的個案,也是以圖形的方式來思考。因為自閉症的兒童有此特性,國外有些特教機構,特別強調要鼓勵他們多使用內部對話,利用自己說出口的語言,來協助自己認知行為的完成。
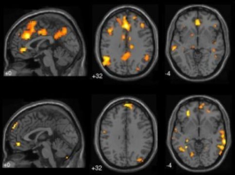
還有醫學上的幻聽(Auditory Verbal Hallucinations),聽到的是別人的聲音,那個聲音到底是從哪裡來的? 是不是內部對話? 雖然那個聲音聽起來像是外來的,但是從fMRI顯影儀器上看,聲音跟內部對話一樣,都是從自己的Broca區發送出來的。根據加州大學Dr. Judith Ford的研究指出,內部對話是可控制的,幻聽是不可控制的;內部對話時的聽覺系統不會聽到實質的聲音,但是幻聽時的聽覺系統會聽到實質的聲音,而且是別人的。通常幻聽是發生在心不在焉(mind-wandering)與作白日夢(daydreaming)的時候,此時大腦的前額葉皮質內側(Medial Pre-Frontal Cortex,MPFC)會呈現忙碌的狀態。通常心不在焉或恍神時,此區都特別的活躍(如圖6)。

圖6 取材自Brain's Problem-solving Function At Work When We Daydream
在非意識的狀態下,如果此時天外飛來一個侵入性的想法(unbidden thought),因其有非志願的特性,將會引起抑制訊號的增強,而讓整個認知的處理產生異常現象。首先MPFC與負責語言產生的Broca區連結,同時也啟動了這個不請自來想法的口語化程序,想法開始以語言的形式呈現出來。MPFC也同時與殼核(Putamen,激活時會啟動隱藏在潛意識底下可被執行的聽覺動作)和聽覺皮質(Auditory Cortex)做連結,如圖7。導致此語言形式的想法,好像是在意識的狀態下被聽見一樣,這就是為什麼幻聽會聽到實質聲音的緣故。那為什麼是別人的聲音呢? 我們人類和許多動物都有efference copy and corollary discharge的反應,只要是我們自體做任何一個動作,內部也會跟著產生這個動作的相關訊息副本(efference copy),然後被傳遞至大腦的其他部分(corollary discharge)。目的是讓我們可以比較並調整預期與執行中的動作,同時也告訴大腦這個動作是自己產生的,可以減少對其做感知的反應。當我們對自己哈癢時,不會覺得癢的原因即在此。當Broca區輸入不請自來的想法時,想法開始以語言的型態呈現。本來此時應該有一個動作副本,同時傳送至大腦其他區域,標示這個語言形式的想法出自於自己。但是增強的抑制訊號,造成副本訊息傳遞受到干擾與阻隔,所以會將此語言訊息誤認為外來的。這也解釋了幻聽的聲音,為什麼聽起來好像是別人的一樣。這些異常的狀況,使得自我監控機制(self-monitoring mechanism)認定聲音是外來的,於是產生幻聽的現象。綜合上述,Judith認為幻聽不是內部對話,而是那個天外飛來的想法所產生的。

圖7
我們講話是否會使用內部對話,與個人平常的習慣和講話時所使用的策略有關。下次當你看到別人講話的時候,眼睛往內部對話的位置移動時,大概可以猜出他可能正在對自己講話、正在考慮一件與自己有關的事情、正在算計中或是正在工作記憶區校對等一下要說出口的稿子。至於聽覺建構(Ac)是什麼? 等以後的章節再做說明。
參考資料:
Anna Batory, Waclaw Bak(2010) The Dialogical Self: Research And Applications.
David Pare, Mishka Lysack(2006) Exploring Inner Dialogue in Counsellor Education.
Malgorzata Puchalska(2010) Dialogue, Monologue, and Change of Perspective- Three Forms of Dialogicality.
Morgan Blaker(2016) Developmental Transitions in Private Speech: Implications for Real World Executive Function.
Ben Alderson-Day, Charles Fernyhough(2015) Inner Speech: Development, Cognitive Functions, Phenomenology, and Neurobiology.
Alan Baddeley(2012) Working Memory: Theories, Models, and Controversies.
Alan Baddeley(2007) The Working Memory Model: The Development of Working Memory in Children.
Nelson Cowan(2008) What are the Differences Between Long-Term, Short-Term, and Working Memory.
Corlanne Rogalsky, William Matchin and Gregory Hickok(2008) Broca’s Area, Sentence Comprehension, and Working Memory: an fMRI Study.
Lain DeWitt and Josef P. Rauschecker(2013) Wernicke’s Area Revisited: Parallel Streams and Word Processing.
Bradley R. Buchsbaum(2013) The Role of Consciousness in the Phonological Loop: Hidden in Plain Sight.
Donald T. Stuss(2011) Functions of Frontal Lobes: Relation to Executive Functions.
Judith M. Ford, Thomas Dierks, Derek J. Fisher(2012) Neurophysiological Studies of Auditory Verbal Hallucinations.


