
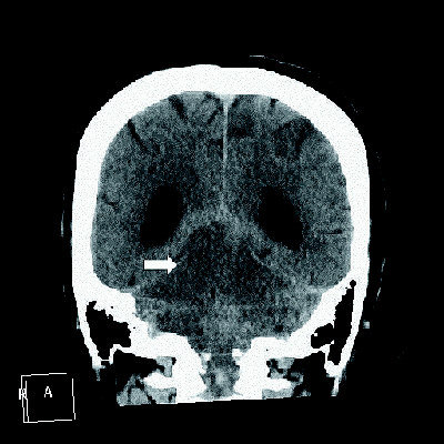
箭頭指發生梗塞受損的腦幹,病患常常已陷入昏迷狀態。(圖:莊毓民醫師提供May 03, 2011)
最近接到數名以突發性眩暈來表現的腦中風病例,患者起初是頭暈、走路不穩,送來醫院後,不到幾小時就突然昏迷。告知家屬是最致命的腦幹中風,家屬幾乎不敢相信,不安與無奈寫在臉上。
腦幹是生命中樞,掌管呼吸心跳血壓等,嚴重的腦幹中風,死亡率可能到達八成。如此致命的腦幹中風,最初表現竟可能只是突發性眩暈。
筆者曾分析某醫學中心以突發性眩暈為診斷的病患,發現基底椎動脈狹窄比率達四成,若老年人且合併高血壓、糖尿病者,比率甚至高達八成。臨床上,眩暈病患若合併基底椎動脈狹窄,其症狀普遍較嚴重,這項研究成果發表於英國著名的「神經學神經外科及精神科學」期刊。
台北陽明大學公衛學科也曾對突發性眩暈病患,長期追蹤四年,發現腦中風風險是正常人三倍,合併老年、高血壓及糖尿病等危險因子,四年內腦中風風險更高達正常人五倍。 這項研究成果發表於國際著名的「腦中風」期刊。
如此交叉分析可發現,老年人突發性眩暈腦中風機會高,不可輕忽,若不幸合併慢性內科疾病,風險更高。
如何判斷病患的突發性眩暈是腦中風的前兆?曾有研究指出,請病患下床走路,如果步態不穩會跌倒,腦中風風險提高兩倍。另外,眩暈症狀時間長、合併複視及說話結巴、不流利,也是腦中風前兆。
目前腦中風預防以控制內科危險因子為主,控制血壓可降低四成腦中風機率,控制高脂血症約可降低三成,如果服用阿斯匹靈可以再降二成,統統做到,可將整體腦中風機率降低85%。
老年人如果真的發生突發性眩暈,應盡速就醫,由醫師鑑別診斷是否符合三小時內施打血栓溶解劑的標準:部分醫學中心可採用特殊導管,直接由大腿股動脈置入至腦血管阻塞處,利用抽吸及機械力破壞血栓後吸出,手術條件是腦中風六小時內。









