Tetralogy of Fallot 法洛氏四重症
2018/04/17 17:54
瀏覽751
迴響0
推薦0
引用0

Background:
- Stenosis of right ventricle outlet (infundibulum part) 右心室出口狹窄
- Less obstruction:L to R shunting
- More obstruction:R to L shunting→cyanosis(最常見的先天發紺原因,50-70%)
- May involved in chromosome 22, Degeorge symdrome
- Right ventricle hypertrophy 右心室肥大
- Ventricular septal defect 心室中膈缺損→R-to-L shunting(缺氧血打入左心室)
- Aorta override septal defect(variable)
- PD-dependant 要仰賴未關閉的動脈導管才能存活
Etiology:
- RVOT stenosis→RV pressure↑ →RV hypertrophy →VSD
Clinical presentation:
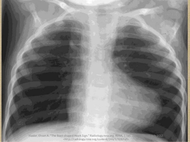
- Boot shape in x-ray(caused by R. ventricle hypertrophy) 靴狀心臟
- Cyanosis in finger, lips 嘴唇手指發紺
- Clubbing fingers 手指甲腫
- Decreased PO2 血氧濃度下降
- Failure to development and gain weight
- Cyanosis spell 蹲下時缺氧的狀況緩解
- Increased vascular resistance
- Increased systemic pressure
- Pressure of left side > right side
- Transfer to L-to-R shunt

Treatment and prevention:
- Prostaglandin therapy(PGE1)(i.v)→maintain ductal patency 給予PGE1維持動脈導管打開
- Intracardiac repair(3-6 mo)
- palliative shunt
- Surgery
Reference:
- Uptodate
你可能會有興趣的文章:
限會員,要發表迴響,請先登入


