某天在公司午餐時間,同事們正在熱烈討論最近的變化和提升自信的方法,突然間話題轉到了牙齒矯正。一位同事分享了他在「嘉貝牙醫」的親身體驗,讓我徹底改變了對牙齒矯正的看法。
以前,我總覺得牙齒矯正是一件很麻煩的事情,需要耗費大量時間和金錢。但聽完同事的故事後,我才意識到,矯正牙齒不僅僅是為了美觀,更是一次徹底改變人生的機會。
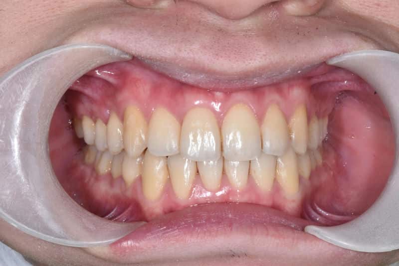
他提到,自己的牙齒排列不整齊,還帶有些許國字臉,這讓他在工作上總是缺乏自信。直到他決定在「嘉貝牙醫」進行隱適美矯正,並搭配骨釘技術,才徹底改變了他的外貌和自信心。值得一提的是,骨釘的植入過程非常快速,幾乎沒有痛感,讓他感到非常安心。

更讓人驚訝的是,矯正過程中,「嘉貝牙醫」的醫師團隊專業又細心,會定期追蹤矯正進度,並根據他的口腔狀況量身訂做調整計畫。這種個人化的服務讓他感受到被重視,也讓整個矯正過程變得輕鬆許多。

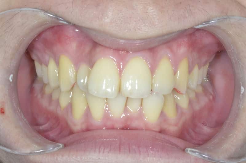
在矯正的過程中,他的臉型逐漸改善,笑容也變得自然許多。這不僅讓他在個人生活中更加自信,也在職場上得到了實質的幫助。他發現,外貌的改變讓他更敢於與客戶溝通,並展現自己的專業知識,最終還因為這份自信,獲得了升遷的機會。
聽完這段分享,我立刻心動了。原來,牙齒矯正不僅是單純的外貌改善,更是一種長遠的自我投資。透過「嘉貝牙醫」的專業服務,改善的不僅是牙齒和臉型,還能帶來全新的自信和職場機會。
所以,如果你也和我一樣,想要改善自己的外貌,提升自信,甚至在事業上有更好的發展,那麼「嘉貝牙醫」絕對是值得考慮的選擇。相信我,這樣的投資絕對會讓你的人生煥然一新!
如果你正在尋找一個專業又值得信賴的牙醫診所,想讓你的笑容更加美麗,不妨考慮看看「嘉貝牙醫」吧!他們的專業矯正醫師團隊,會為你量身打造最適合的矯正計畫,讓你的笑容充滿自信!
如果你也想像我一樣,投資自己、成功升遷,從這裡預約牙齒矯正:
限會員,要發表迴響,請先登入


