台北/板橋/府中/粉刺/痘痘/淡痘疤/毛孔/清粉刺/閉鎖粉刺/青春痘/黑斑/敏感肌改善/過敏/凹洞/做臉/護膚/除斑/接睫毛/睫毛嫁接/睫毛教學/睫毛檢定/美睫/種睫毛/電眼美睫/新娘秘書/美容乙丙級/教學/證照/推薦/評價

阿倫是個正處青春時期的孩子
上了國中後
臉開始長滿红红的痘子
大顆小顆團結做伙來
阿倫對於這些又紅又腫又濃胞的臉臉
又氣又恨
但也不知如何解決現況
某天,在網路上收尋到佳靚美人青春痘治療專家
哇~青春痘專家壓,一定要去嘗試一下
快來看看阿倫的狀況唷
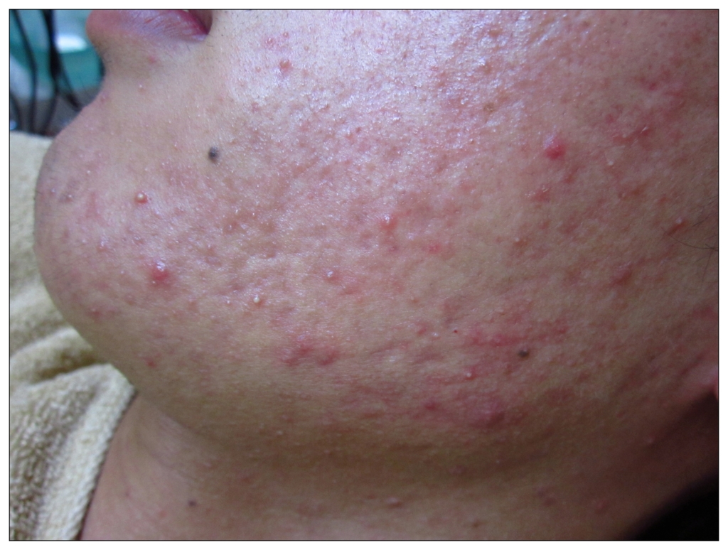
看倌們~一起來找出阿倫最困擾的地方吧

第一:兩頰泛紅
第二:
佈滿許多 小膿胞及痘痘
其實阿倫的問題很簡單
當天就可以看見效果唷
依照阿倫皮膚狀況 我們給阿倫專業的建議是
1.先改善阿倫的泛紅的現象
2.清除重點的大顆痘痘及膿胞
3.利用魔顏科技美人肌
把臉打乾淨使膚色更均勻
4.再一次修護敏感泛紅現象
輕輕鬆鬆 當天馬上看見效果
泛紅現象明顯改善
阿倫的大痘痘也變成小痘痘了
膿胞當然也徹底消滅嘍

我們也提醒阿倫
『會長痘痘的肌膚還是會長唷~
我們能做到的就是幫助痘痘肌膚 不會再惡化越長越多』
另外,阿倫屬於容易泛紅的敏感肌膚
所以溫和且漸近式的療程很適合他,
保証4次之內,一定讓阿倫的肌膚變得超健康唷
再來回味一次 阿倫當天的效果改善唷

阿倫超滿意佳靚美人給他的完美體驗
馬上預約下次療程的時間
阿倫還跟我們說:『要等到下禮拜才能來~真是等不及嘍~~~~』
【台北旗艦店】
02-29523445
0975-406828
加入Line好友,掃描上方QR code即可立即線上諮詢問題
週一公休
週二到週五11:00~21:00
週六、週日12:00~18:00
新北市板橋區中山路一段6號4樓
台北/板橋/府中/粉刺/痘痘/淡痘疤/毛孔/清粉刺/閉鎖粉刺/青春痘/黑斑/敏感肌改善/過敏/凹洞/做臉/護膚/除斑/接睫毛/睫毛嫁接/睫毛教學/睫毛檢定/美睫/種睫毛/電眼美睫/新娘秘書/美容乙丙級/教學/證照/推薦/評價
無痛無瑕清粉刺→請搜尋『佳靚美人』
下一則: 我討厭大膿胞-台北/板橋/府中/粉刺/痘痘/淡痘疤/毛孔/清粉刺/閉鎖粉刺/青春痘/黑斑/敏感肌改善/接睫毛/美睫教學
- 紋繡檢定考前衝刺班~讓妳掌握考試內容與方向! 台北/板橋/府中紋繡半永久
- 台灣被大陸人複製的驕傲,清粉刺清痘印除斑粟粒腫痣二十年經驗台北/板橋/府中/紋繡/痘痘/教學
- 終於等到妳~霧眉大師精選課程#紋繡書暢銷作者-Angel老師親自授課台北/板橋/府中/美睫/紋繡/痘痘/微刺青/教學
- 《一技在手,希望無窮,打造屬於妳的美容王國》無痛粉刺密技教學課程~台北/板橋/府中/美容創業教學
- 誰說一定要有美術基礎才能學刺青?!台北/板橋/府中/美睫/紋繡/痘痘/微刺青/教學/檢定/證照/推薦/評價
- 首選清粉刺!拒絕紅+腫+疤!台北板橋推薦!閉鎖粉刺教學課程((擊退敏感肌))台北/板橋/府中/美容創業教學推薦


