台北/板橋/府中/粉刺/痘痘/淡痘疤/毛孔/清粉刺/閉鎖粉刺/青春痘/黑斑/敏感肌改善/過敏/凹洞/做臉/護膚/除斑/接睫毛/睫毛嫁接/睫毛教學/睫毛檢定/美睫/種睫毛/電眼美睫/新娘秘書/美容乙丙級/教學/證照/推薦/評價
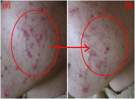
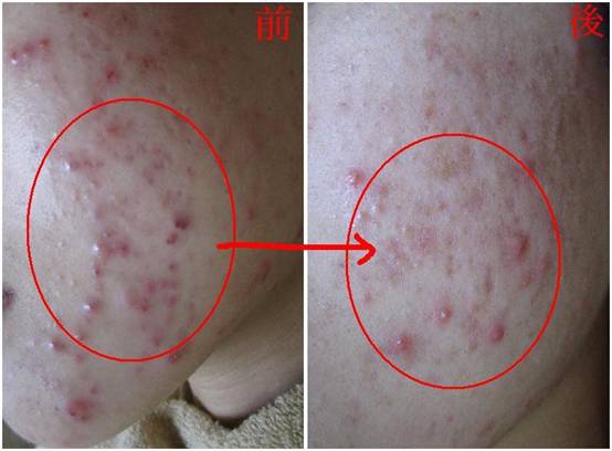
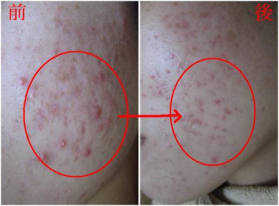
第一次來和目前的樣子

Yami是一個業務員,平常對於很重的業績壓力都要忙到好晚!
經常熬夜趕報表,白天又要面對面客人,
所以好在意自己臉上紅紅腫腫的膿胞!!
當她在google搜尋關鍵字『醫學美容』就找到『佳靚美人』了!!
當她看完我們部落格裡的新客須知後,當下就直接衝過來了
但是她忘記先預約了,所以從早上11點等到下午2點
等了好久唷!!我們不忍心還是先幫他做了:)
Yami是屬於:敏感性肌膚+粉刺+大膿胞

我們給yami的專業建議是:
第1.先處理敏感性的問題(做個敏感保濕修護)
第2.目標就是紅紅腫腫的大膿胞
第3.如何把臉變的乾乾淨淨的
第4. 再做一次敏感保濕修護
第5.把整張臉敷的漂漂亮亮的去約會唷
我們目前要先從她臉上的
大膿胞都慢慢讓它變成小膿胞

之後一直陸陸續續過來唷

等2012/02/28痘痘都清乾淨只剩痘疤時
那我們之後就更好處理了!!

這時候只要用魔顏科技美人肌
把膚色變亮變白變均勻
要讓她從原本的咖啡色的痘疤變成粉紅色的
再從粉紅色的漸漸變成沒有!!
這就是接下來yumi要做的功課囉!!
除了我們在佳靚美人幫她保養
她回家也好勤勞的保養唷!!
但最重要的是:卸妝要卸乾淨!!
這樣保養品才好吸收進去唷
對於她的敏感性的肌膚,就要好好的用魚子精華液來改善!!
最最最重點的是yumi只要不偷懶也不亂摳相信離她的美麗肌膚不遠了!!
只要5瓶就能滿足妳365天裡,肌膚所需要的「清潔」「保濕」「防曬」
【台北旗艦店】
02-29523445
0975-406828
加入Line好友,掃描上方QR code即可立即線上諮詢問題
週一公休
週二到週五11:00~21:00
週六、週日12:00~18:00
新北市板橋區中山路一段6號4樓
台北/板橋/府中/粉刺/痘痘/淡痘疤/毛孔/清粉刺/閉鎖粉刺/青春痘/黑斑/敏感肌改善/過敏/凹洞/做臉/護膚/除斑/接睫毛/睫毛嫁接/睫毛教學/睫毛檢定/美睫/種睫毛/電眼美睫/新娘秘書/美容乙丙級/教學/證照/推薦/評價
無痛無瑕清粉刺→請搜尋『佳靚美人』
下一則: 三次立即改善痘痘肌 台北/板橋/府中/粉刺/痘痘/淡痘疤/毛孔/清粉刺/閉鎖粉刺/青春痘/黑斑/敏感肌改善/接睫毛/美睫


