保證4次改善敏感肌-台北/板橋/粉刺/痘痘/痘疤/毛孔/閉鎖/青春痘/敏感/接睫毛/過敏/凹洞/做臉/除斑/評價/推薦
2012/07/12 17:05
瀏覽210
迴響0
推薦0
引用0
台北/板橋/府中/粉刺/痘痘/淡痘疤/毛孔/清粉刺/閉鎖粉刺/
青春痘/黑斑/敏感肌改善/接睫毛/美睫教學/電眼美睫/過敏/
凹洞/做臉/護膚/除斑/評價/推薦

小憶從花蓮到台南讀書,是個非常安靜害羞的小女孩唷!!
問她話時都是:嗯嗯嗯的回答,沒有多餘的言語
是個敏感+過敏的膚質
她一直都有在看皮膚科擦葯、吃葯
臉上有過敏、青春痘跟咖啡色的痘疤
對她大學生涯產生困擾!
所以嘗試著做臉保養(這是她的第一次唷!)
我們告訴小憶『臉的皮膚是急不來的』
要配合我們 一步一步慢慢來
一定要先把臉的皮膚,養的肥肥嫩嫩、健健康康
這樣不管做什麼都好的快
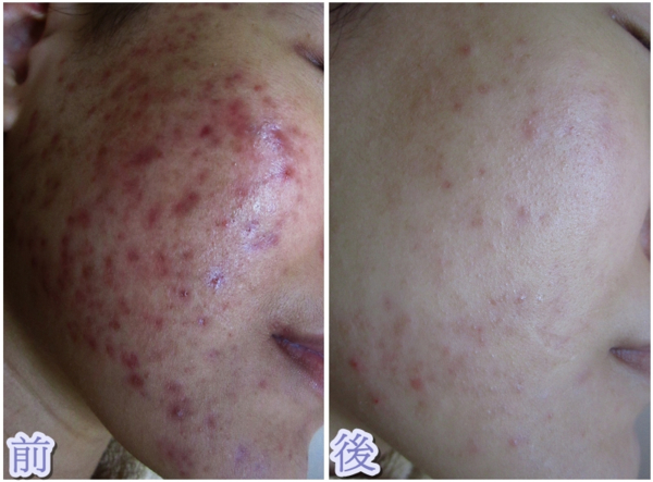
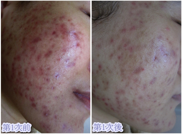
第一次當天的效果

改善敏感及泛紅現象
第二次處理
因為小憶在家很認真的照顧自己的皮膚
第二次看到小憶的臉就比較不紅了

所以我們除了針對過敏敏感肌膚的改善
還要加強臉上濁濁的痘疤和膚色不均
我們一直提醒小憶
『過敏肌膚 可不是
我們能做到的就是幫助小憶 不讓過敏肌膚繼續惡化』
小憶也很配合我們的療程時間
因為剛開始是治療期所以7至10天就要來一次
之後再慢慢的延長時間 變觀察期14天來一次

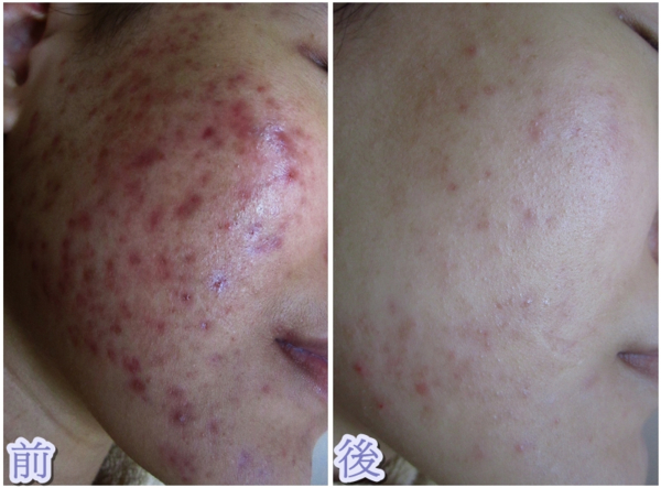
大家有沒有發現小憶改善過敏敏感膚質後
臉越來越健康,越來越亮了

當然 痘疤殘留 色素沉澱
就會好的比較快了~
各位 再看一次
小憶來到佳靚美人所做的完美改變吧

【台北旗艦店】
02-29523445
0975-406828
LINE ID :janebeauty
新北市板橋區中山路一段6號4樓
台北/板橋/府中/粉刺/痘痘/淡痘疤/毛孔/清粉刺/閉鎖粉刺/
青春痘/黑斑/敏感肌改善/接睫毛/美睫教學/電眼美睫/過敏/
凹洞/做臉/護膚/除斑/評價/推薦
自訂分類:美容-美白除斑痘疤專區
上一則: 毛囊(孔)角化症立即改善-台北/板橋/粉刺/痘痘/痘疤/毛孔/閉鎖/青春痘/敏感/接睫毛/過敏/凹洞/做臉/除斑/評價/推薦下一則: 4次的戰痘過程~台北/板橋/府中/粉刺/痘痘/痘疤/毛孔/青春痘/敏感/接睫毛/美睫教學/過敏/凹洞/做臉/除斑/評價/推薦
你可能會有興趣的文章:


