4次的戰痘過程~台北/板橋/府中/粉刺/痘痘/痘疤/毛孔/青春痘/敏感/接睫毛/美睫教學/過敏/凹洞/做臉/除斑/評價/推薦
2012/06/25 13:28
瀏覽141
迴響0
推薦0
引用0
台北/板橋/府中/粉刺/痘痘/淡痘疤/毛孔/清粉刺/閉鎖粉刺/
青春痘/黑斑/敏感肌改善/接睫毛/美睫教學/電眼美睫/過敏/
凹洞/做臉/護膚/除斑/評價/推薦
還記得從宜蘭來的奶凍捲先生嗎?
不記得或不知道的請看這個連結吧!!
就可以知道他如何來到佳靚美人的故事了





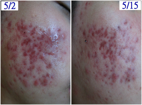
只過了短短的一個月喔!!!你看~~~

下週奶凍捲先生放暑假了
要回『嘉義』以前,
會再來做一次,
接著要去台南繼續治療,
下一篇會把他整個戰痘過程記錄呈現
有他的治療過程,
有他的問題解析,
治療過程中所遇到的困難
我們如何突破及
怎麼讓有辦法這麼短暫內恢復呢?
還有大家最關心的
就是他的治療經費啦!!
【台北旗艦店】
02-29523445
0975-406828
LINE ID :janebeauty
新北市板橋區中山路一段6號4樓
台北/板橋/府中/粉刺/痘痘/淡痘疤/毛孔/清粉刺/閉鎖粉刺/
青春痘/黑斑/敏感肌改善/接睫毛/美睫教學/電眼美睫/過敏/
凹洞/做臉/護膚/除斑/評價/推薦
自訂分類:美容-美白除斑痘疤專區
上一則: 保證4次改善敏感肌-台北/板橋/粉刺/痘痘/痘疤/毛孔/閉鎖/青春痘/敏感/接睫毛/過敏/凹洞/做臉/除斑/評價/推薦下一則: 一次的戰痘經驗~台北/板橋/府中/粉刺/痘痘/痘疤/毛孔/青春痘/敏感/接睫毛/美睫教學/過敏/凹洞/做臉/除斑/評價/推薦
你可能會有興趣的文章:


