行天宮植牙診所分享推薦「聖偉牙醫林子揚院長」
2025/05/11 00:02
瀏覽69
迴響0
推薦0
引用0
從小就不是特別怕看牙的人,但對於要動刀植牙這件事還是默默焦慮了好幾個月,那顆右下臼齒其實壞了很久,一開始是想補起來繼續用,後來發現牙根已經裂了只能拔除,拔牙那陣子我還一直跟醫師說等等還能補得回來嗎,醫師搖搖頭我才意識到我真的需要面對植牙這個選項,身邊很多人是裝活動假牙聽說便宜又快,但我一直覺得咬合穩定比較重要,而且每天取下來清潔也不太方便,而我原先去的診所其實也沒有植牙的項目,於是我就這樣拖著拖著,直到有天同事推薦我可以考慮到行天宮附近的聖偉牙醫找林子揚院長諮詢看看

↑植牙前很大的一個空缺,因為缺的是臼齒所以其實對於咀嚼都有影響!
後來我上網查了一下發現很多人都推林子揚院長,第一次預約的時候得知林院長的諮詢是需要費用的,因為他會評估得很完整,我本來還有點猶豫…結果真正看過一次後,才理解為什麼大家都願意付,院長會根據你的狀況去說明、規劃,是那種會坐下來慢慢解釋每個步驟的人,不是只丟給你幾張X光片要你自己猜的那種醫師。
我自己是屬於復原能力普通的人,做完當天其實沒有太大的不舒服,隔天稍微腫了點但很快就消了,完全打破我對植牙的恐懼印象,說真的看牙醫這件事不只是技術,還有很多看不到的細節會影響整體感受,像是聖偉的醫師們真的都很專業。

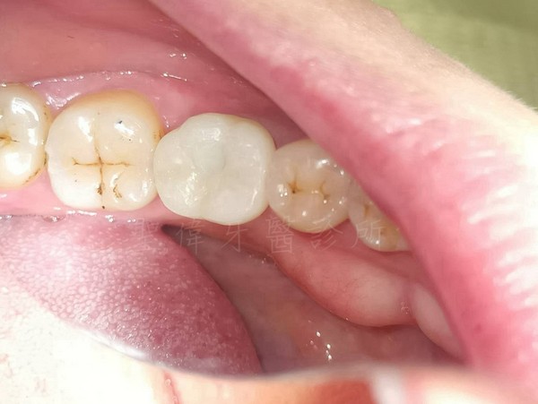
↑植牙後的狀態好棒,很自然而且都沒有不舒服~
後來回診幾次院長記得我有說我怕蛀牙,他還貼心提醒我如果愛吃甜的,吃甜食錢可以刷含氟牙膏會比較不容易蛀牙,每次聊一聊都覺得他不像在看診,比較像一個懂你狀況的朋友,這段植牙旅程原本以為會很痛很難受,但意外地溫柔又有節奏,很感激可以遇到這麼棒的醫師讓我能放心重新用力咬下那塊牛排,還能帶著新的笑容繼續吃我愛的甜食與人生的每一口,有植牙需求的朋友其實來找院長諮詢看看,或是去他們官網看看https://www.sendwelldental.com/
你可能會有興趣的文章:
限會員,要發表迴響,請先登入


