part-2 21週的胎動
2009/06/28 18:10
瀏覽540
迴響1
推薦10
引用0

之前問過同事『胎動』是什麼感覺
...他說就像有人打妳肚皮
記得前兩天才感覺到胎動~有人由內往外頂我肚皮
當時我正要睡覺,確定有兩下之後興奮的告訴老公
但老公只『喔』然後睡著了![]()
-------------------------------------------------
之後兩天我無時無刻都在注意著『胎動』
這一天都沒有......而且又下腹墜墜的
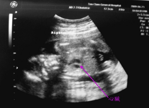
在醫院工作的我,半路遇到超音波機就忍不住了......
而且還兩次![]()
第一次:慧玫阿姨的傑作,因為是普通超音波機型加上阿姨力道太小
所以.......![]()
第二次:過了1小時又遇到幫我產檢的醫師,就跟她說了剛才的事情
他就讓我自己去用產科專用的超音波機~
看到心跳就安心了
在醫院工作真不錯
唉~當媽真辛苦,大家應該都有過這種經驗吧

你可能會有興趣的文章:
限會員,要發表迴響,請先登入









