Contents ...
udn網路城邦
鄭文彥牙醫診所的部落格
(
到舊版
)
文章
相簿
訪客簿
植牙美學(後牙區)
2019
/
03
/
31
16
:
38
瀏覽
1,397
迴響
0
推薦
0
引用
0
回覆
推薦
引用
有誰引用
我要引用
引用網址
列印
全站分類:
知識學習
|
健康
自訂分類:
植牙美學
上一則:
前牙植牙美學及軟組織轉移
你可能會有興趣的文章:
牙周再生補骨手術 ( GTR ) 2
發表迴響
會員登入
+
=
※ 請計算輸入數字
送出迴響
作家
加入好友
推薦部落格
訂閱關注
留言給他
鄭文彥牙醫診所
個人小檔案
部落格推薦
:
0
等級
:
2
點閱人氣
:
9,256
本日人氣
:
5
文章創作
:
8
相簿數
:
1
搜尋
輸入關鍵字:
搜尋
文章分類
prev
月曆
0月 (1)
文章排行榜
最新發表
最新回應
最新推薦
熱門瀏覽
熱門回應
熱門推薦
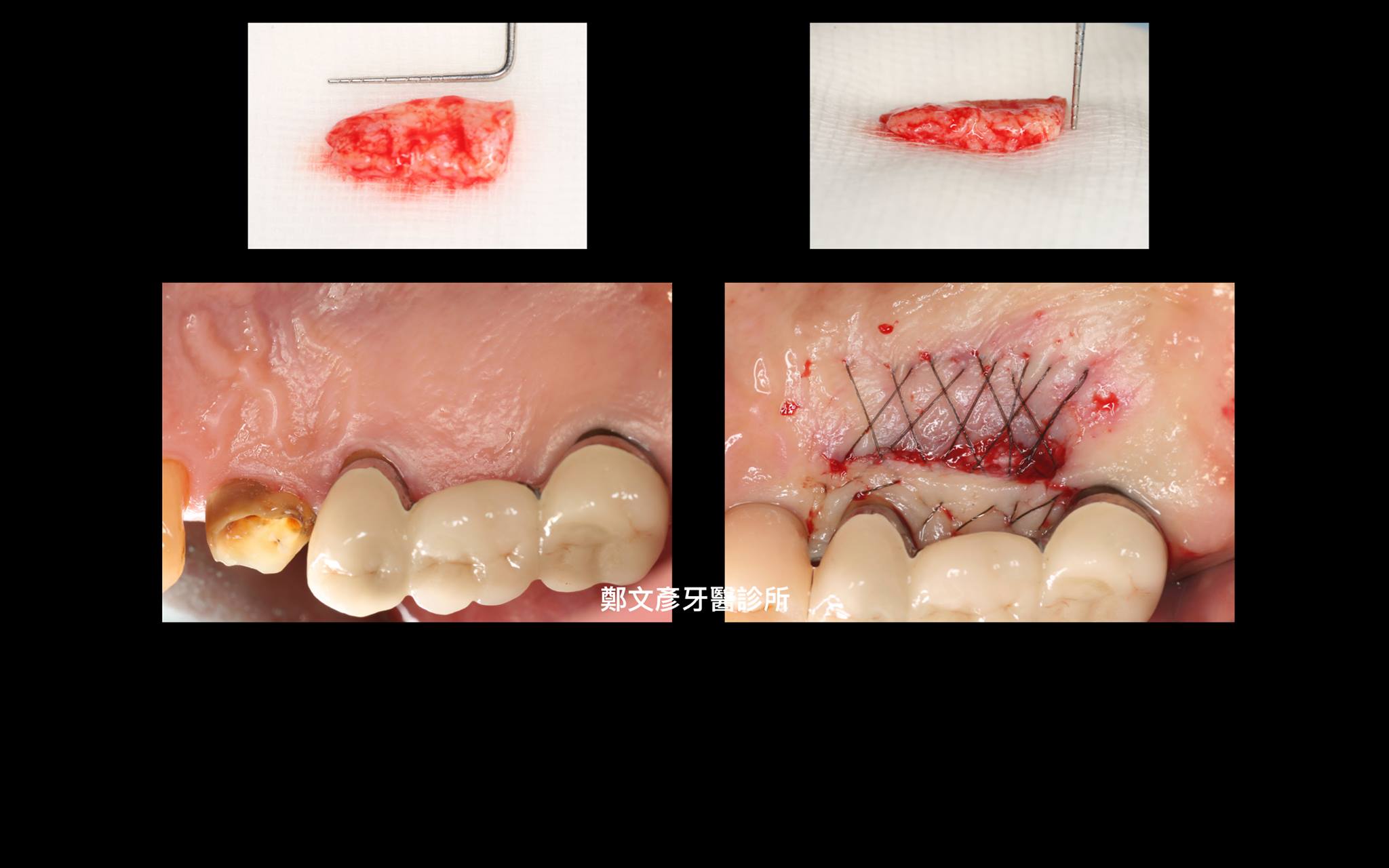
3. Role of granulation tissue in socket preservation
Role of granulation tissue in socket preservation
牙周再生補骨手術( GTR )4
智齒拔除後的齒槽骨缺損修復( GTR )3
牙周再生補骨手術 ( GTR ) 2
牙周再生補骨手術 ( GTR )
精選文章
我推薦的文章
>
部落格推薦人
more
標籤
RSS
RSS
部落格聯播