在一次與親友聚會中,一位堂姐熱情地分享了她孩子在嘉貝牙醫矯正牙齒的經驗。她強調醫生的專業和細心,讓孩子不再抗拒矯正,這讓我對嘉貝牙醫產生了濃厚的興趣。
當孩子的牙齒出現排列不整的問題時,身為父母的我們心中不免擔憂。幸運的是,我們在嘉貝牙醫找到了理想的解決方案。嘉貝牙醫的專業團隊由矯正專科醫師組成,對兒童和青少年的矯正有著豐富的經驗。他們會為每個孩子量身打造專屬的矯正計畫,讓矯正過程事半功倍。

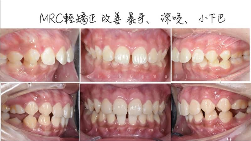
在嘉貝牙醫的初次諮詢中,醫生耐心地解釋了及早矯正的好處。由於孩子牙齒和骨骼尚在發育,這個階段的矯正不僅效果顯著,還能減少日後可能需要拔牙的情況。醫生還提到,矯正不僅有助於改善外觀,還能提升口腔功能,例如咀嚼力和發音的清晰度。

嘉貝牙醫的診所環境讓人感到放鬆,乾淨明亮的空間加上親切的醫護人員,讓孩子和家長都能消除看診的壓力。診所使用先進的高科技掃描設備,提升矯正的精準度,並減少傳統印模的不適感。這種創新的技術讓孩子在矯正過程中不再感到緊張或不安。

在整個矯正過程中,醫生會利用模型和實際照片,向孩子解釋矯正的每一步驟,並強調口腔保健的重要性。透過這樣的教育,孩子很快就願意主動配合,養成良好的牙齒清潔習慣。隨著時間的推移,我們定期帶孩子回診,醫生都會仔細檢查牙齒的變化,並隨時調整矯正計畫,確保最佳效果。
經過一段時間的努力,孩子的牙齒終於變得整齊美觀,他的自信心也因此大幅提升。如今,他敢於在同學面前大聲笑,完全不再擔心被取笑。這種改變不僅在外觀上,還讓他在咀嚼和說話方面都表現得更加自然。
嘉貝牙醫的位置非常便利,鄰近東門捷運站、東門市場和大安公園,讓家長帶孩子前往看診變得十分輕鬆。如果您的孩子也有牙齒排列不整的困擾,不妨考慮嘉貝牙醫。專業的團隊和先進的設備,將帶給您和孩子一段愉快的矯正體驗。讓我們一起為孩子的未來打造一個自信的笑容!
嘉貝牙醫的官網有更多牙齒矯正的介紹:
限會員,要發表迴響,請先登入


