
網路轉寄訊息:
認識我夠久的人都知道,我向來不會義憤填膺的,也傾向於溫和的改變事情,
我既不是激進的綠色人士,也不是帶頭革命的知識分子,
更不是為反對而反對的反對黨,或者高舉正義旗幟革命領袖,
我只是一個還喜歡台灣這個樂土、想好好過日常生活的小老百姓,
我想,即使是921大地震或88水災對我都沒有如此巨大的衝擊,
所謂的 “意外“ ,是指 “意料之外“,或許我們無能為力,我們無法改變大自然,
所以,每次有意外或者國家災難發生,台灣人總是可以展現出驚人的生命力和韌性,
不論死去多少無辜的犧牲者,我們可以互相幫助,重新再站起來,
即使你不是災區民眾,或甚至從來沒有離開過台北市的人,
透過媒體或網路,我們依然可以感受到什麼是“災難“,
但我認為大家都小看這次的 “災難“ 了,我認為這樣的災難是毀滅性且不可逆轉的。
我不妨問個位看倌幾個問題?
1. 請問什麼是狂牛症?
2. 牛肉煮熟後就好?
3. 請問狂牛症是經由什麼途徑傳染?感染後有辦法醫治嗎?
4. 請問狂牛症的症狀?成功醫治的比例有多少?死亡率有多少?
5. 請問如果美國牛這麼恐怖,美國人早就死光了,而且政府拍胸脯保證安全?
6. 請問我是不是不吃牛肉就好?
7. 如何完全避免感染?
我整理了一些資料,普遍發現以上幾點是大家忽略的
我周圍很多親朋好友只知道美國牛事件吵很兇,卻不認識狂牛症是什麼
1. 請問什麼是狂牛症?
它正式的名稱是“牛海綿狀腦病“,俗稱“狂牛症“或“瘋牛症“,在人類身上稱為“克雅二氏病“或簡稱“庫賈氏症“(CJD),分為普通性和變異性,普通性不可傳染且病發平均年齡65歲,變異型透過食用傳染,平均病發年齡29歲。目前確信是由變異性蛋白Prion所引起。
2. 牛肉煮熟後就好?
不,煮熟或冷凍皆無效,甚至高溫700度或放射線皆無法滅絕,化為灰燼後仍有感染性,若任意丟棄土壤也會感染。被喻為“第二個愛滋病“或“人類最後的天譴“。
3. 請問狂牛症是經由什麼途徑傳染?感染後有辦法醫治嗎?
食用感染的肉品感染,目前完全無法醫治。若混入絞肉中病發率甚至比食用內臟更高更危險,且已感染的牛隻會藉由其他途徑感染其他牛隻,血液、飼料或菜刀之類的。
4. 請問狂牛症的症狀?成功醫治的比例有多少?死亡率有多少?
病發後死亡率100%,成功醫治比例是0,大約半年至一年死亡。症狀類似於 “惡靈古堡“ 和 “毀滅倒數28天“ ,因1986~1993年間爆發狂牛症和騷羊症事件,所以殭屍電影裡的背景都設定在倫敦。主要因為腦部海綿化導致急速失智,進而言語和行動能力失調。
5. 請問如果美國牛這麼恐怖,美國人早就死光了,而且政府拍胸脯保證安全?
目前爆發案例大多在歐洲尤其是英國,目前官方數據超過170起案例。普通型患者有偶發性和遺傳性,但突變型是經感染的,容易被誤判為"阿茲海墨症"(俗稱老人痴呆症),而阿茲海墨症正是美國十大死因之一,美國地方的私人調查數據更是遠遠超過官方數據。除此之外,大家都知道白人不太愛吃內臟,但台灣的內臟消耗量不但是亞洲第一、更是世界之冠,染病機率更高。加上台灣人98%有染病基因更是雪上加霜,機率是美國人的720倍,而且我不知道什麼叫做“最嚴格的把關“,因為台灣只有一台檢役機器,也只能驗腦不能驗肉,更何況是抽樣調查,當時爆發役情的英國政府也是信誓旦旦拍胸脯保證。
6. 請問我是不是不吃牛肉就好?
錯,會經由輸血傳染,染病潛伏期目前確知為6年,部份實驗室宣稱10~20年,目前已經確定光是英國經過輸血感染的案例至少有4起,但如同上一題,台灣人機率更高上數百倍。假設你動手術輸血,對方的好心可能會因為潛伏期導致你間接感染。
此外,若病牛作成飼料,將感染豬隻或其他家畜,到時恐怕爆發“瘋豬症“,後果更不堪設想,想想你食物中有多少豬肉吧。
7. 如何完全避免感染?
第一種方案,徹底吃素、完全避免輸血,換言之,不能吃肉,最好一輩子都不要出意外動手術。
第二種方案,拒絕美國牛、特別是牛內臟,這會造成毀滅性的後果。
我由衷的希望大家可以正視問題的嚴重性,這是國家 “尚未“ 發生的災難,
這也是為什麼這麼多專業單位和專家學者如此憤怒,
我們的生命絕不是交換軍售的籌碼,更何況軍售還是美國賺錢!
請不要再抱持著 “不會輪到我“ 或 “不要吃牛就好“ 的想法,這是錯的
畢竟人人都有機會透過吃肉或輸血感染。
如果你上youtube搜尋,可以看到英國因為吃漢堡而死亡的犧牲者,更可以感同身受,
他只是一個年紀20出頭無辜的男孩,過世的半年前還懷抱著夢想在錄音室寫音樂,
BBC上也有關於狂牛的詳細紀錄片,看到CJD患者的樣子你連笑都笑不出來,
趁著現在台灣還是一個完全沒有爆發疫情的乾淨小島,不要讓他變成 “惡靈古堡“ 翻版。
保護你自己的生命,同時也保護你周圍的人,你的朋友或家人隨時都有可能無辜的死去,這場災難遠比棒球簽賭或H1N1來的可怕、來的長遠,
沒有人樂見過著沒肉可吃,甚至被聯合國劃為疫情管制區的日子。
請 “用力“ 讓大家知道事情的嚴重性,
我文章寫的再好,若沒有借助各位的力量幫忙宣傳,一切也只是枉然,
請幫忙到處轉貼和告知,尤其是您的父母,他們的資訊並不像我們這樣方便,
媒體已經被壟斷,幸好我們還有網路,幸好我們還有可以迅速散播的Facebook,
讓他們了解狂牛症的可怕,並告訴更多的人,
最重要的是,要有更具體的行動,讓政府知道我們的憤怒,徹底拒絕美國牛。

上圖這團紅色夾帶白色的,叫 Prion,
中文有的翻譯成普利昂或普利子,有人叫朊病毒,但它事實上只是一種普通的蛋白質,
但卻擁有如同病毒或細菌一般的: 遺傳、傳染以及隨機性,
Prion 蛋白在形成有功能的四級結構過程發生要命的摺疊錯誤,
蛋白間所摺疊出來的類澱粉纖維構型異常的堅固,
不但不溶於水,而且沒有酵素可以分解,甚至高溫都無法破壞,
最夭壽的是,Prion 獨有的錯誤摺疊會一連串影響其他正常蛋白的摺疊 (Chain Reaction),

這張圖可以看到同樣一個胺基酸排列的Prion有兩種不同的摺疊,
右邊那個是會發生病變的 PrPsc。
於是,當 Prion 在你的體內的時候,他會不斷的堆積,最後破壞你的神經系統,
並開始入侵腦部組織,你的腦袋在X光的照片下會變成一個洞一個洞,就如同被散彈槍打過一樣,
我戲稱這個怪病叫海棉寶寶症,醫學上稱作 Creutzfeldt–Jakob disease(新型)庫賈氏症,
如果發生在牛身上我們稱作 狂牛症。
這種怪病簡直就是在怪醫黑傑克的動畫裡面才會看的到,
患者會突然開始失眠、失憶、甚至痴呆,病發時會在病房裡不斷前後踱步,
顯得非常焦躁不安,最後因為不斷持續性的失眠與焦燥造成精神耗弱,而開始筋攣、抽蓄最後死亡,
目前在醫學上:無藥可醫。
而參予研究這個 Prion 變異蛋白的美國醫生-George Glenner 本身也栽在這個疾病,
他死前心臟被測出含有大量的 Prion,讓人更高度懷疑,Prion是可以透過各種近距離的管道入侵人體,
其中之ㄧ就是食用擁有 Prion 變異蛋白的牛肉、內臟。

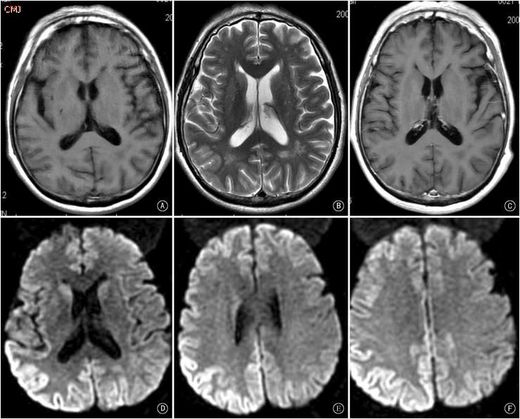
這張大腦圖,由右至左可以看到 Creutzfeldt–Jakob disease 的病患腦部逐漸成海綿狀。
但 Prion 的恐怖與殘忍,不但是會不停的折磨你的大腦,
它跟病毒一樣有所謂的潛伏期,時間長達12~50年,
五十年後,當你的大腦開始空洞海綿化的時候,
我相信你在痛苦閉上眼睛的前一刻,你絕對不會記得,
五十年前,我們有位民選總統跟我們說的:
我們要用美國牛肉交朋友
限會員,要發表迴響,請先登入


