
推薦台中權泓牙醫黃泓傑醫師!感謝他讓我親身體會牙齒美白的酸痛副作用完全是可以避免的…
從小就對我的黃牙齒很自卑,不喜歡開口笑,每次拍照都覺得很難熬...
雖然每天都有乖乖刷牙,因此也沒什麼蛀牙困擾,但是黃牙齒似乎跟黃皮膚一樣,跟定我一輩子了。
前陣子去台中權泓牙醫洗牙,跟黃泓傑醫師閒聊到牙齒美白,他建議我可以在診所做「居家美白」,也讓我有點心動…
以前有在藥妝店看到各式各樣的牙齒美白產品,選擇很多,令人目不暇給,價格也不是說很貴,我有買過幾款來試試看,但每天用好像效果也不是很好,雖然好像有變白一點點,但是…好酸!
有用過人的應該多少能體會,尤其我很怕酸,它的酸度實在讓人受不了。後來覺得太奇怪,上網查竟然找到《英婦做牙齒美白 傷及牙齦糗成「哈買兩齒」》的新聞…嚇得我當場把所有牙齒美白產品都丟掉!>”<
不過跟黃泓傑醫師討論後,他告訴我其實牙齒美白副作用是可以避免的,很多人以為牙齒美白沒有副作用,可以去藥房或藥妝店隨便買回家自己做(自己的牙齒自己救?),或者以為牙齒美白一定會酸痛,所以當酸痛發生時選擇一直忍受-這些都是錯誤的觀念!
說到這裡我只能說我驚呆了…因為不知不覺我就中了兩槍,我就是那個去藥妝店隨便買回家自己做,然後做到酸痛到不行才撤手的傢伙…不過黃泓傑醫師也分享給了我很多觀念,這裡也借花獻佛分享給大家:
- 牙齒美白的重點是藥劑+時間=效果,如果時間要短(快速有效),藥劑就要強,但因此也更容易造成不適(酸痛)。
(OS: 難怪我之前…哭哭)
- 很多坊間牙醫診所強調立即有效的雷射美白、冷光美白確實都很有效,但是美白效果最多維持幾個月,最後還是要靠居家美白來加強。
(OS: 這樣是不是做居家美白就好,我查到的雷射美白價格我都負擔不起啊…而且效果又不持久…)
- 牙齒美白的概念其實有點像烤香腸,如果火太大(藥劑太強),只會讓牙齒表面烤焦而已,裡面還是沒熟,因此重點是慢火均勻地烤熟,再來就是,香腸熟了就是熟了,你一直烤,牙齒也不會變得更熟。
(OS: 我懂,我完全懂,中秋節才烤肉過,這些觀念我都懂…)
- 牙齒美白必須讓藥劑進到牙齒裡面,讓齒質從裡到外的變白需要時間,因此居家美白產品中,黃泓傑醫師推薦「美白牙托」較為適當,不過也要注意配戴的牙托合不合齒型,若不合齒型,藥劑容易流掉,而且沾染到牙齦,其實很容易造成灼傷。
(OS: 難怪我之前會牙齦酸痛…那些應該都是我的牙肉在哀嚎吧…囧)
聽完黃泓傑醫師的分享,我當天就決定要做牙模,下次再來取牙套,牙齒美白果然還是要交給專業的來,相信黃泓傑醫師不會讓我失望。
在這邊也分享一下台中權泓牙醫的牙齒美白看診流程。
一開始黃泓傑醫師會替病患諮詢,然後檢查牙齒,確定沒有牙周問題,才進入製作牙模的階段。
牙模做完會做牙套,但牙套不是光做好就好,黃泓傑醫師還是會替病患微調,這個部份非常重要,因為剛做好的美白牙托還是難免有誤差,為了不讓藥劑傷害牙齦,一定要確保美白牙托佩戴後可以完整包覆牙齒。
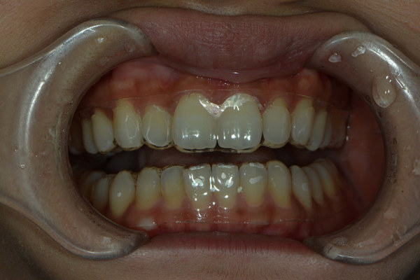
這邊也先來看一張對照組,是我拿家裡沒用過的美白牙托到權泓牙醫給黃泓傑醫師諮詢用的,他建議我配戴後拍照比較,可以很明顯地看出沒有量身打造的美白牙托有多不適合!
尤其是牙齒跟牙齦接縫的地方都不貼合,難怪這些地方一直白不回來。 >”<
這是黃泓傑醫師幫我製作的美白牙托,完全就是我的牙齒外觀。
另外這是居家美白產品,品牌是Opalescence,每次配戴牙托都必須搭配藥劑使用,使用上也有固定劑量。
為了確保回家後我能正確使用,黃泓傑醫師很仔細地教我居家美白流程,我覺得美白牙托做得很好,因為戴上後,藥劑沒有外流、刺激牙齦的狀況發生,而且可以感覺到每顆牙齒都有被藥劑包覆到。
美白牙托的齒型都是量身打造的,從照片中可以看出非常貼合,因為黃泓傑醫師連邊緣都會盡量修磨,所以戴上後有種牙托本該與牙齒合而為一的感覺。 XD
最後來感謝一下黃泓傑醫師!不知道他會不會看到我的文章?XD 非常感謝台中權泓牙醫提供居家牙齒美白治療服務,黃泓傑醫師的專業也相當值得推薦,而且不會強迫推銷,反而告訴了我很多正確的牙齒美白觀念,讓我可以擁有一口白牙與健康口腔,也避免牙齒美白的副作用。










