願早曲肱再作枕 - (2011.05.07~08.14若淵折肱記錄)
2013/09/23 21:37
瀏覽695
迴響0
推薦0
引用0

樂在曲肱 若淵折肱以傷手書之 (2011.05.25)
論語˙述而:「飯疏食飲水,曲肱而枕之,樂亦在其中矣。不義而富且貴,於我如浮雲。」

2011.05.07 林美石磐步道受傷前

若淵肱骨斷裂處示意圖

2011.05.08

2011.05.09


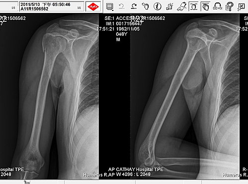
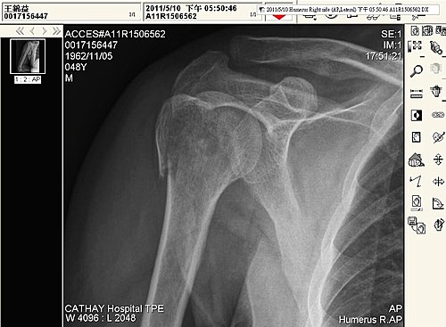
2011.05.10 拍攝的X光圖

2011.05.10

2011.05.11

2011.05.14 重返林美石磐步道摔傷現場

2011.05.21

2011.05.25 曲肱而枕之

2011.06.02 敷黃副總所贈中藥貼布

2011.06.12

2011.06.18

2011.06.28 拍攝的X光圖

2011.08.14 受傷第100天
適逢新卯中元節
傷勢漸癒
午後雷雨中遊虎山溪步道
你可能會有興趣的文章:











