牙科植牙補骨手術(二)
2013/10/21 15:30
瀏覽176
迴響0
推薦0
引用0
|
再將鏡頭拉回牙科的世界。 |
|||||||||
|
|
|||||||||
|
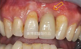
前牙植牙補骨手術範例: |
|||||||||
|
|
|||||||||
|
因為長期缺牙,齒槽骨僅剩0.2mm,使用人工骨粉進行補骨手術後,可見長出了厚厚的新生骨, 足以支撐植入的人工牙根。 |
|||||||||
|
|||||||||
|
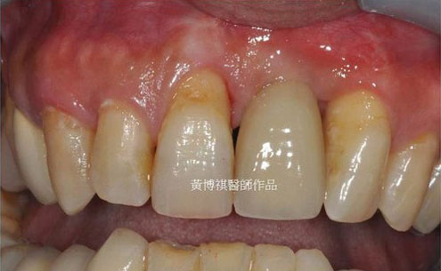
術後完成照。 |
|||||||||
|
|
|||||||||
|
前後比較: |
|||||||||
|
|||||||||
|
資料來源:皓美牙醫診所 |
你可能會有興趣的文章:
限會員,要發表迴響,請先登入










