Contents ...
udn網路城邦
皓美牙醫診所部落格
(
到舊版
)
文章
相簿
訪客簿
齒齦微整型案例(五)
2014
/
05
/
28
15
:
35
瀏覽
93
迴響
0
推薦
0
引用
0
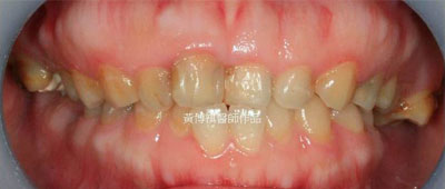
齒齦微整型案例:
牙齦微整形前
牙齦微整形後
使用美白貼片改善暗沉齒色
完成照
前後比較
資料來源:皓美牙醫診所
回覆
推薦
引用
有誰引用
我要引用
引用網址
列印
全站分類:
不分類
|
不分類
自訂分類:
齒齦微整型案例
下一則:
齒齦微整型案例(四)
你可能會有興趣的文章:
舌側矯正是不是比一般的矯正還貴?矯正器會不會刮傷舌頭?
上顎骨頭太薄及有鼻竇炎又有嚴重的牙周病,可以植牙嗎?
請問金屬的牙套是不是一定會讓牙肉變黑?
敏感性牙齒洗牙後會更嚴重嗎?
門牙暴牙及門牙的牙縫很大,有辦法一起治療嗎?
請問舒眠植牙真的不會痛嗎?
限會員,要發表迴響,請先登入
作家
加入好友
推薦部落格
訂閱關注
留言給他
皓美牙科診所
個人小檔案
部落格推薦
:
0
等級
:
5
點閱人氣
:
25,258
本日人氣
:
9
文章創作
:
89
相簿數
:
13
搜尋
輸入關鍵字:
搜尋
文章分類
prev
月曆
0月 (1)
文章排行榜
最新發表
最新回應
最新推薦
熱門瀏覽
熱門回應
熱門推薦
吃冰的時候,牙齒感到酸軟,請問這種情形該怎麼處理?
有輕微的牙周病想要植牙,會有問題嗎?
笑的時候牙肉會露出很多,要怎麼改善呢?
舌側矯正是不是比一般的矯正還貴?矯正器會不會刮傷舌頭?
突出的牙齒拔掉,牙縫會很大該怎麼辦?
下排門牙的地方,做植牙好還是要做牙橋好?費用要多少?
精選文章
我推薦的文章
>
部落格推薦人
more
標籤
RSS
RSS
部落格聯播