炎夏瘋戲水须防「红眼症」
2016/08/08 10:54
瀏覽292
迴響0
推薦2
引用0
結膜炎(Conjunctivitis)是指覆蓋著眼瞼內側面及眼球表面的薄膜(即結膜)發生炎症,俗稱「紅眼症」,這是一種傳染性高的疾病,每年六至八月是傳播高峰期,任何人士均有機會染上此病,尤其兒童,最常見是因細菌或者病毒感染而發生的傳染性急性結膜炎。
現時夏季來臨,溫度、濕度高,容易助長病菌滋生及蔓延,加上炎炎夏日,大家都喜歡到海灘或泳池嬉水游泳,若當中有患上紅眼症的人士,那麼其他人就有機會接觸患者眼睛分泌物污染的水或用品,令感染紅眼症的風險大大增高。
結膜炎的成因
正常的眼睛,在眼白外有一層半透明的膜蓋住,這層膜就是結膜,它可產生黏液,用來蓋住並潤滑眼球表面。正常的結膜含有大量微絲血管,當存在發炎刺激時,會使微絲血管擴張,變得粗大充血,而出現所謂紅眼睛現象。
結膜炎的分類及常見症狀
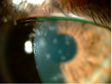
傳染性急性結膜炎主要過濾性病毒感染所引致,而腺病毒及腸病毒則是病毒性結膜炎的主要病原。由過濾性病毒引起的結膜炎傳染性十分高,常見的病毒有「腺病毒」(Adenovirus)及「克沙奇病毒」(Coxsackievirus)。其中感染腺病毒引起的流行性角結膜炎(圖1)不止影響結膜,還可能對角膜造成損傷,患者眼紅眼痛,流眼水、怕光、水狀分泌物增多,患者偶有輕度發燒,耳前淋巴腫痛,或結膜下出血,嚴重時可以引致角膜發炎而令病情加重。約過半流行性角結膜炎的患者會伴有角膜病變,其中大部份發生在結膜炎後第七至第十天,一般先形成角膜上皮發炎,嚴重時可以發生上皮下方的角膜混濁及角膜基質病變。值得慶幸的是,大部份角膜病變在數週內一般可以痊癒,只有少數的角膜混濁持續數月或甚數年。
結膜炎通常先發生於一眼,但有時候會感染另一眼。一般症狀都局限於眼睛,但少數由病毒引起的急性紅眼症,還可能會併發類似流行性感冒的全身症狀,如發燒、全身酸痛、咳嗽、流鼻水、喉嚨痛、肚瀉等。
此外,亦有部份結膜炎由於細菌引致,當中最常見的致病細菌是流感嗜血桿菌和肺炎鏈球菌。患者會有眼睛紅腫,眼睛分泌物增多及流眼水的症狀,有時可能會出現眼痛。與病毒性結膜炎的最大不同在於,細菌感染所致的分泌物多數黏稠,呈黃綠色,而由於眼睛的分泌物增多,早上起床時,眼皮更會有被黏住而難於張開的感覺。
傳播途徑及潛伏期
患者發炎期間的傳染性十分高,主要通過直接接觸傳播,與坊間說法不同,與紅眼症患者「你眼望我眼」,並不會傳染結膜炎,結膜炎的傳播途徑主要是直接接觸,例如接觸病人眼睛或上呼吸道的分泌物,或透過受污染的手、衣服或其他物品,包括與別人共用眼部化粧用品或外用眼科藥物,均可染上結膜炎。但也有些病毒感染,例如由腺病毒引起的咽結膜熱則可經由飛沫(即空氣)傳染,故若身邊有結膜炎患者,尤其同時有感冒症狀者,應儘量互相保持距離。此外,游泳人士於受污染的水源游泳,也可感染結膜炎。至於潛伏期,病毒性結膜炎的潛伏期通常為1至12日,細菌性結膜炎的潛伏期則多為1至3日。
結膜炎的治療及預防
若不幸罹患結膜炎時,尤其出現畏光症狀,應迅速就醫。對於病毒性紅眼症,通常會使用一些舒緩藥物來減輕症狀,例如去紅筋眼藥水等,另外還會使用一些抗生素類以防出現繼發性的細菌感染,而如果出現角膜炎症,則可以透過使用類固醇眼藥水以減輕免疫反應。如果處理得當,一般數周可以痊愈,而如果病情較重,則完全治愈可需3至9月。而屬於細菌性感染的結膜炎患者可使用抗生素眼膏或眼藥水治療。
至於護理方面,結膜炎患者應充分休息,注意個人衛生,痊癒前應盡量避免返回學校或工作地點,以防傳染他人。此外,暫時不要使用公共設施,如公共泳池和遊樂場等,以免令病菌散播。
至於預防措施則主要有:
1.避免與結膜炎患者接觸,或使用患者用過的物品。
2.適當處理沾有患者眼部或呼吸道分泌物的物品
3.養成洗手的習慣,勤於用消毒皂液洗手。
4.不要用手捽眼。
5.不要與他人共用毛巾或洗手間用品。
6.避免與他人共用眼藥水、眼部藥物、眼部化妝品和其他可能觸及眼睛的用品
結語
急性傳染性結膜炎多因病毒感染引起,很容易傳染他人,若不幸患上,應立即找醫生治理及依照醫生的指示,使用處方的藥物及作充足的休息。發病的高峰期,尤其到公眾場所活動時,為己為人應做足預防措施,勤洗手、莫捽眼。
歡迎加入:https://www.facebook.com/dennislameyecenter/ 林順潮眼科中心
你可能會有興趣的文章:
限會員,要發表迴響,請先登入




