激光手術治療復發性角膜上皮破損效果好
2016/07/18 10:54
瀏覽2,987
迴響0
推薦4
引用0
復發性角膜上皮破損(Recurrent Corneal Erosion,RCE)的病人多數都有角膜上皮受傷破損的病史,其典型症狀是眼睛出現嚴重刺痛、怕光、流淚、眼紅及視力模糊,嚴重時病人可能根本無法睜開眼睛。這些症狀任何時候都有可能發生,但多見於早晨睡醒睜開眼的時候。這種疾病並不少見,而且使用慣常治療方法比較不易徹底治癒,值得慶幸的是,先進科技發展帶來的新治療方法成效相當不俗,下面讓我們一起探討和瞭解復發性角膜上皮破損及其最新治療方法。
角膜破皮和復發性角膜上皮破損
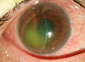
角膜共有五層結構,其中最表面的一層稱為上皮層,這一層出現刮傷或破損剝落的情況俗稱為角膜破皮,即角膜上皮破損(Corneal Abrasion)。造成角膜上皮破損的原因除外力因素(過分用力的揉擦或異物直接傷到眼角膜)外,較常見的原因是隱形眼鏡配戴不當,導致眼角膜上皮會因為長期缺氧而水腫剝落,造成角膜破皮。另外,角膜本身的疾病也是重要的因素,可能由於眼瞼閉合不全、睫毛倒插、嚴重的乾眼症、電焊或紫外線灼傷以及角膜炎或其他角膜本身疾病而造成角膜的破損。由於角膜的上皮細胞每天都在新陳代謝,所以破損的角膜即使不使用藥物治療,通常在數天後也可以自行修復,不再復發。然而,有部份病人修復的過程不理想,即使在傷口癒合後,角膜仍一再自發出現上皮的破損,這種情況就稱為復發性角膜上皮破損(圖1)。
如果出現上述症狀,馬上閉眼休息片刻,症狀可能會得到部份緩解。然而,這種情況一再反覆出現,不但會困擾病人的日常生活,並且因為角膜破損一直修復不良而併發角膜感染,甚或潰瘍。
復發性角膜上皮破損怎樣治療?
通常的治療方法是使用抗生素眼藥水預防感染,並在每天睡前塗藥膏,在眼皮及角膜之間形成一個保護膜,避免眼皮把鬆鬆的新生角膜上皮層扯下來,不過可能需連續使用一段較長的時間,讓角膜表皮有足夠的時間與下方的組織加緊連接。藥物治療同時可以結合戴繃帶式的隱形眼鏡(Bandage Contact Lens),其原理與藥膏相同,也需戴較長時間以待傷口癒合,但使用隱形眼鏡治療有出現角膜缺氧的風險,而且由於需要定期更換,除戴眼鏡時還應注意雙手清潔,以免發生細菌感染。另一種方法是使用針頭在角膜病變處,穿刺出一些較深的傷口,使表皮與下面組織能夠結疤,而緊密黏連,此方法會造成角膜瘢痕以及有角膜穿孔的風險,目前這類方法已經較為少用。
隨著科技的進步,治療復發性角膜上皮破損的方法已經有了新的進展,目前不少研究顯示在結合藥物及繃帶式隱形眼鏡治療復發性角膜上皮破損效果不佳時,可以考慮使用激光治療性角膜切割術(Photo-Therapeutic Keratectomy,PTK)治療。這種手術治療成效相當不俗(圖2),而且復發率低於10%。
PTK手術睇真D
PTK手術是一種使用準分子激光(Excimer laser)在角膜表面對有病變的組織進行激光打磨的手術,是治療性的手術方案。進行PTK激光手術治療時,會首先去除病變的角膜上皮(深度50-60μm),然後再使用激光打磨下方的一層薄薄的組織(深度8-10μm),重建病變區域的基底結構(圖3a、b),使之恢復平滑。PTK手術後,原有的角膜上皮會被新生的上皮細胞代替,而新生的細胞由於擁有健康平滑的基底生長環境,絕大多數都可以正常癒合。
其實,除了治療復發性角膜上皮破損外,PTK手術還適用於深度不超過1/3角膜厚度的病變,包括角膜混濁、瘢痕及角膜表面不規則等。另外,雖然單純的PTK手術並不會對眼睛的屈光度數產生改變,但如果同時有屈光不正,如近視或者散光等,而又打算接受激光矯視手術矯正的病人,在PTK手術時可以通過直接增加打磨的深度,即聯合PRK激光矯視手術(Photorefractive Keratectomy)來一次性治療角膜病變及矯正屈光不正問題。
結語
角膜受傷破損後一般數天內可以自行修復,卻有部份病人會發生復發性角膜上皮破損。通常的治療方法是使用眼藥水預防感染加上繃帶式隱形眼鏡保護角膜,但療效並不盡如人意。然而現代的先進激光手術科技給這些病人帶來了新的希望,我們發現採用PTK手術治療復發性角膜上皮破損成效相當不俗,復發率低,並且可以同時矯正屈光不正問題。
你可能會有興趣的文章:
限會員,要發表迴響,請先登入





