「我並沒有流鼻血、鼻塞呀,為什麼到這麼晚才發現呢 ?」
這是許多鼻咽癌患者共通的疑問,因為他們被告知這個噩耗時,多半已
出現頸部淋巴結轉移,有些人甚至被當作是感冒或中耳炎的症狀醫治了一
段時日。
雖然鼻咽癌有個「鼻」字,但是疾病初期時與鼻子常見的毛病卻無甚關
聯,此與它在身體的位置有關。鼻咽位於鼻腔和副鼻竇的後方、頭骨底部
的下方、及口咽 (張開嘴巴看到最後方處) 的上方所圍起來的區域 (見圖)。
因此,如果在此長出了腫瘤,與前方的鼻腔還隔著呼吸道空腔,不致阻塞,
也不會因為腫瘤出血(通常量都不多)而出現流鼻血症狀(都順著空腔往下流
了,所以反而是咳出的痰或口水中帶血);除非一直未就診發現,等腫瘤長
大至侵入鼻腔,始有可能發生鼻塞或流鼻血的症狀。
究竟鼻咽癌常見的症狀是甚麼呢 ?
脖子摸到不明凸起的腫瘤才是最常見的症狀,也就是頸部淋巴結腫大,
代表已由鼻咽區域轉移至頸部淋巴結。這是因為鼻咽區域具有豐富的淋巴
組織,所以癌細胞極易順著淋巴循環流向頸部所致,這是鼻咽癌的特性,
據統計約有六七成的患者是因此而就診,這還不包括因其他症狀就診,但
由醫師檢查後發現也有頸部淋巴結腫大的現象。雖然聽到 “轉移” 似乎頗駭
人聽聞,但是由於鼻咽癌對放射治療加上化療的效果還不錯,所以即使已
有頸部淋巴結腫大,仍有比其他同樣期別的癌症具有較佳的療效。重要的
是,能夠及早注意到頸部異常腫大(初始多在耳垂下方附近,拖延愈久,愈
往頸部下方擴展,也會愈變愈大),不致延誤,才能盡量降低轉移至其他器
官的機會。所以,有時候閒閒沒事來個「自摸」自我檢查,或邀親引伴,
相互「對摸」,維護健康兼情感加溫,一舉兩得。
通道,稱為耳咽管,具有平衡壓力的功用,就類似搭乘飛機時在起降過程
中的經驗。如果鼻咽部的腫瘤侵及耳咽管或引起發炎,即會產生耳鳴、悶
塞感或聽力異常的症狀,不可輕忽。
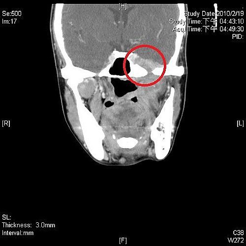
至於少數患者因腫瘤向上發展,侵入頭骨底部,以致壓迫腦神經,產生
複視現象(眼睛所見物體形成雙影、有如無法對焦),或臉麻的神經症狀,有
可能因此掛號至眼科、神經科檢查眼睛、顏面神經而忽略了源頭,因此相關
科別檢查時也須將鼻咽病變成因列入考慮作綜合判斷。

頭部電腦斷層掃描的側面圖。藍圈處為鼻咽部,紅圈處為鼻咽癌已侵入腦底部,
壓迫腦神經。

頭部電腦斷層掃描的正面圖。紅圈處為鼻咽癌已侵入腦底部



