台中牙齒矯正推薦找許瑛祺醫師就對了
在台中矯正牙齒2年的我真的超滿意~
不愧是超多人推薦台中牙齒矯正權威(擦淚)
現在就來看看我的台中牙齒矯正心得經驗分享

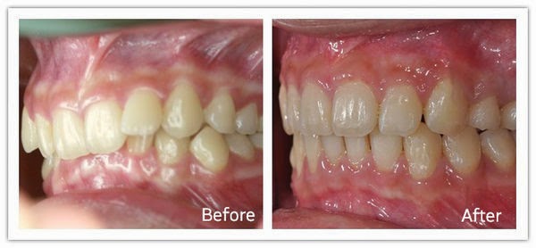
這是我矯正前和矯正後的比較圖片,是不是很驚人!
其實我的牙齒看起來是...還好啦XD 還不算很亂這樣(自以為)
就是上門牙往內縮,然後虎牙往外飛
(就是因為這樣所以我很少抿嘴笑...哭)
不過我的牙齒有一個問題..就是深咬
因為深咬的關係,所以我的下巴就是比較短一點><""
人家也想要漂亮有線條的下巴啊
然後就開始我的牙齒矯正之旅了
先來看看我原本的牙齒
矯正前就是這個樣子啦(實在是太久遠..我自己也快忘記XD)
跟很多人比我知道是小case XDD
不過從這張照片可以看到,我的深咬真的超嚴重
完全看不到我下排牙齒了這樣
然後還有另外一個問題是
看我的虎牙真的很明顯
所以拍照都要笑很大~~
不然嘴皮就會處於很尷尬的狀態
要微笑或閉嘴笑對我來說幾乎是不可能的事情
♥♥♥♥♥♥♥♥♥♥♥♥♥♥矯正後♥♥♥♥♥♥♥♥♥♥♥♥♥♥
然後經過漫長的矯正後(說漫長也還好啦..好像是2年吧)
矯正分期繳著繳著的結束了,說真的好輕鬆
燈燈!!
矯正完,你看看下面牙齒都出來了,一顆顆排好的樣子好感動QQ
而且本來往外飛的上虎牙也縮回去了
也因為這樣,所以我矯正完終於可以微笑拍照了!!!yabi!!
(我知道這對很多人來說是再理所當然不過的事,無法理解我的感動)
矯正過程中的話
其實疼痛喔,真的還好耶
比較不舒服的時候只有初期剛上矯正器那段時間,真是%&*^*&
好像這是個必經的過程
但是慢慢的,生命就會找到他的出路了 哈哈
之後什麼東西都能吃了,幾乎沒什麼再管的
除了空心菜和金針菇,數度差點噎死哈哈哈
(希望這篇不會被我矯正醫師看到,ㄎㄎ)
然後我真的還滿推薦我的矯正醫師和牙醫診所 -
生活牙醫診所 許瑛祺
許醫師真的是滿不錯(再次推薦)
是很好相處的好醫師
這是許醫師的部落格,上面有很多他的矯正案例
http://drhsugracelife.blogspot.tw/
然後生活牙醫那邊環境真的很好
每次去都沒發現一般診所那種藥味
建築又是我個人最喜歡的清水模(大加分!!)
護士小姐也都好溫柔呀~~~看牙前一天還會打電話來提醒我時間
有沒有那麼貼心!?
所以後來人家問我牙齒方面的事情
我都直接推薦生活牙醫給他們了ㄎㄎ
最後附上診所資訊,別再問啦~~
有問題的話直接去問他們網頁上面的線上客服~!回答很快人又很好喔>///<
生活牙醫診所
04-22546060
台中市公益路二段525號
http://www.gracelife.com.tw
限會員,要發表迴響,請先登入



